中国结构周2022 | 百折不挠、创新突围——葛均波院士团队克服高难度TPVR困境一例

作者:复旦大学附属中山医院  张蔚菁 潘文志 周达新

2022年10月9日至2022年10月16日,一年一度的中国结构周正如火如荼的开展。来自全国各地的同道们抱着极大的热忱积极参与,线上讨论热闹非凡、病例转播精彩纷呈、理论讲课深入浅出。10月10日,复旦大学附属中山医院导管室向全国转播了一台高难度的经导管肺动脉瓣置换术,葛均波院士团队在面临意料之外的困境时,以病人的福祉为依托,百折不挠、勇于创新,最终突破困境、取得满意的临床结果。

患者为18岁男孩,在其11月龄时行法洛四联症纠治术,今年7月我院随访心超时提示“法四术后:室水平未见残余分流,右室流出道未见异常,重度肺动脉瓣反流,右房室增大伴室间隔矛盾运动,TAPSE26mm,LVEF60%”。为防止患者右心功能障碍进一步恶化,葛均波院士团队决定为其行经导管肺动脉瓣置换术。手术由周达新主任、潘文志主任、张蕾医生、陈莎莎医生、张蔚菁医生、李伟医生、金琳医生、缪鹏医生共同完成。

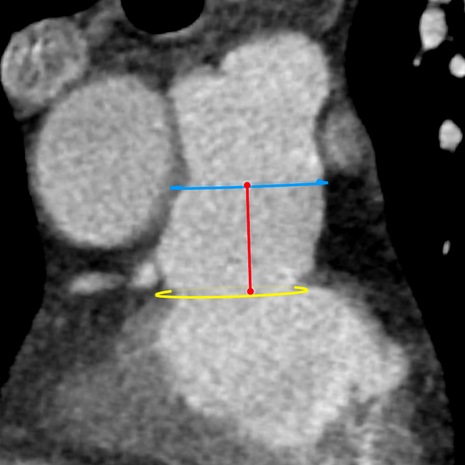
术前通过肺动脉CTA评估患者肺动脉瓣环直径为32mm、肺动脉分叉处直径为35mm、主肺动脉长度为23mm(见图一)。

图一:肺动脉瓣环直径32mm,肺动脉分叉处直径35mm,主肺动脉长度23mm

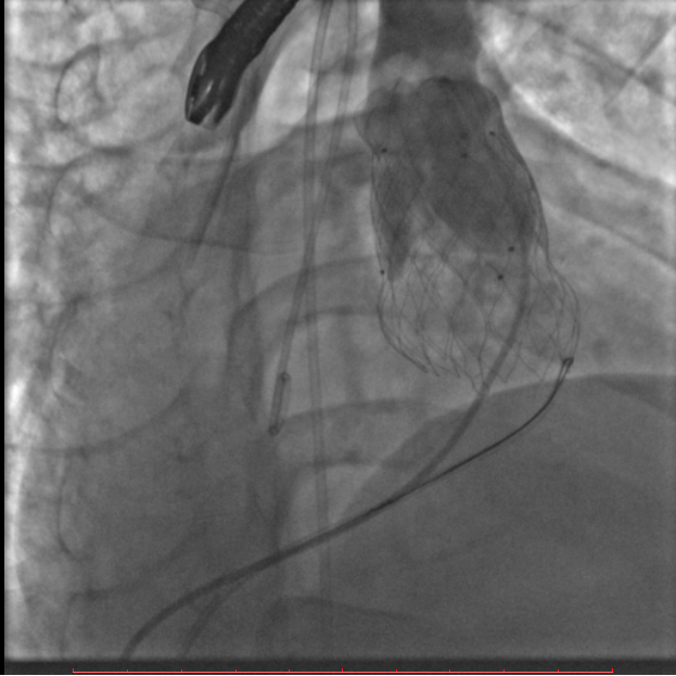
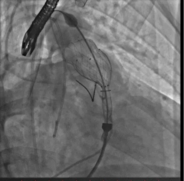
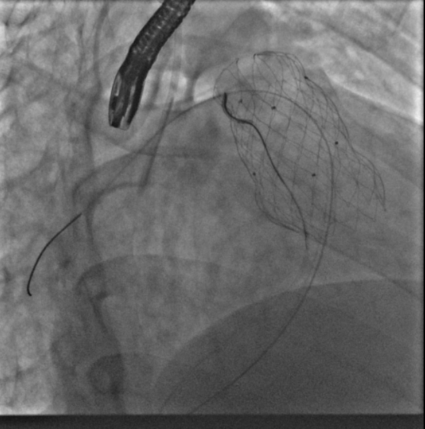
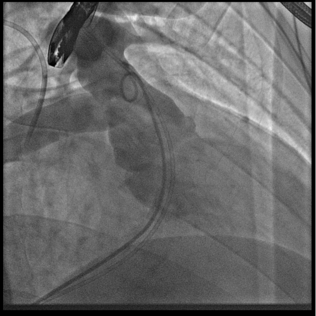
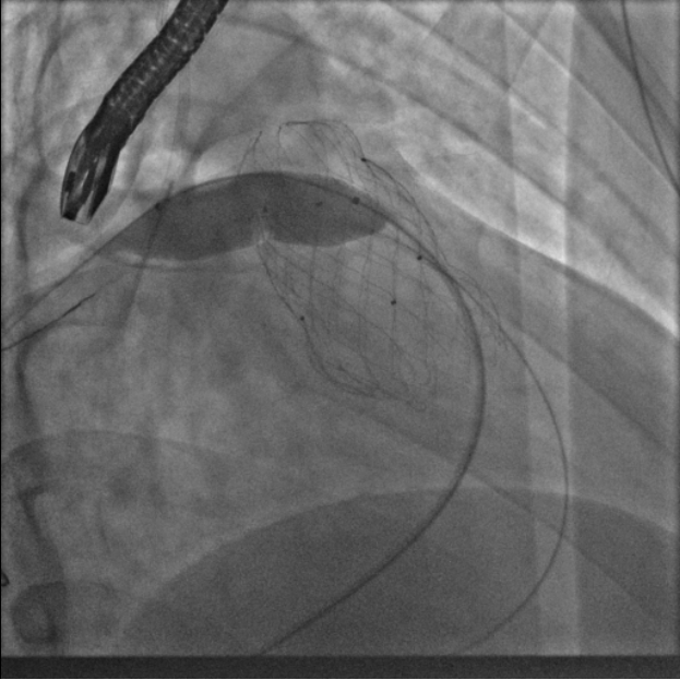
术中测量患者基础主动脉、肺动脉、右心室压力分别为111/58mmHg、31/4/13mmHg、34/1/6mmHg,通过肺动脉造影,术中测量球囊内径为32mm(见图二),选择36-25mm VENUS-P肺动脉瓣膜,在肺动脉造影指引下逐步打开瓣膜。考虑到患者肺动脉分叉较短,存在瓣膜释放后移位风险,故选择高位释放法(图三)。但释放瓣膜后造影提示右肺动脉开口局部被阻挡(图四),复测患者主肺动脉、左肺动脉、右肺动脉压力分别为57/13/25mmHg、55/12/24mmHg、27/7/14mmHg。

图二:术中扩张球囊刚好堵住右室流出道,测量球囊内经为32mm

图三:考虑到患者肺动脉分叉较短,选择高位释放法

图四:主肺动脉造影及选择性右肺动脉造影提示右肺动脉开口局部被阻挡
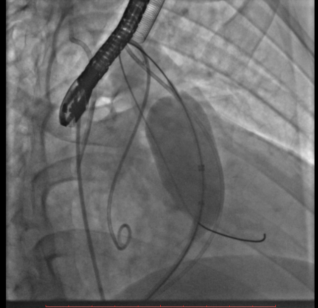
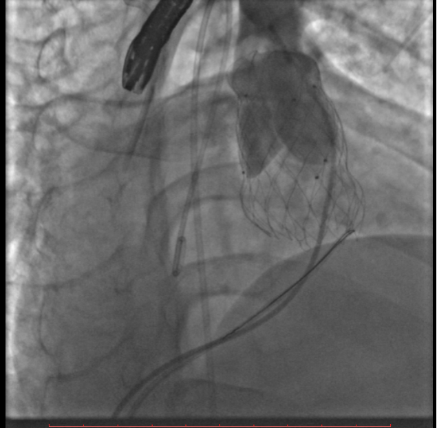
葛院士团队评估后认为,患者右肺动脉因阻挡存在狭窄,且右肺动脉与主肺动脉压差较大,具有临床意义,存在解决的必要。先后尝试Snare圈套瓣架下缘下拉法、双导管圈套瓣架上缘下拉法,但效果不理想,复测右肺动脉与主肺动脉压差仍较大,选择性右肺动脉造影仍存在右肺动脉狭窄。但考虑到患者利益,在安全操作的基础上,团队仍未放弃。拟通过将球囊送至右肺动脉开口处扩张,达到下压瓣膜支架、解除右肺动脉狭窄的效果,考虑到该操作的难点在于球囊无法顺畅到达肺瓣上目标位置,决定采用简略版PASS技术,即通过辅路送Snare至右肺动脉开口,并利用该Snare圈套住主路的Lunder quist导丝,换言之,即通过Lunder quist导丝两头发力将三尖瓣-右室流出道-右肺动脉这一扭曲的途径直线化且增强Lunder quist导丝支撑力,同时,由于Lunder quist导丝在右肺动脉处有附着力,可以避免瓣膜下移过多,如此球囊顺利通过瓣膜支架网孔进入右肺动脉,在DSA指引下逐步扩张球囊,成功使人工瓣膜支架向右心室侧移位。复查造影提示右肺动脉开口未见明显阻挡(图五),复测主肺动脉、左肺动脉、右肺动脉压力分别为32/9/19mmHg、32/7/18mmHg、29/7/17mmHg。复查肺动脉主干造影,显示人工瓣膜启闭良好,轻微瓣膜反流。最终手术疗效显著、取得令人满意的结果。


图五:通过PASS技术将球囊送至右肺动脉开口并扩张球囊、完成肺动脉瓣膜支架向心室侧移位,复查造影右肺动脉未见明显阻挡

肺瓣植入阻挡肺动脉是少见并发症,本例采用了多种技术,最终完美解决问题,为此类病人处理提供了很好经验参考。

想病人所想、急病人所急,团队经过精密的思考、仔细的操作,在保证安全的基础上,力求突破困境、通过微创的方式为患者取得最大的临床获益。葛均波院士团队本次高难度TPVR置入称得上本年度结构周浓墨重彩的一笔。


严道医声同步精彩直播

扫码收藏观看

阅读数: 776