全国首例|兰州大学第一医院白明教授团队成功完成全国首例TAVR+WATCHMAN FLX™一站式手术

2022年10月13日,正值中国结构周如火如荼开展,兰州大学第一医院心脏中心白明教授团队,成功为一位高龄主动脉瓣重度狭窄伴持续性房颤患者完成了经导管主动脉瓣置换(TAVR)和WATCHMAN FLX™左心耳封堵术(LAAC)一站式手术。这是兰州大学第一医院开展的第二例TAVR+LAAC一站式手术,也是国内首次将最新一代左心耳封堵器械 WATCHMAN FLX™应用到该类手术当中。

患者情况

年龄:88岁

性别:男

既往史:高血压病史26年,2型糖尿病病史26年;

诊断结果:主动脉瓣狭窄,持续性心房颤动、心功能Ⅳ级、高血压、糖尿病。

卒中和出血风险评估

手术方案

患者高龄,主动脉瓣重度狭窄伴长程持续性房颤,并合并高血压、糖尿病等基础疾病,患者卒中风险和出血风险高。对该例患者若单独行TAVR手术,则患者术后抗凝抗板治疗出血风险高,且患者仍需终生服用抗凝药物。白明教授团队经过详细的手术方案和风险评估,决定对患者进行TAVR+LAAC高难度的一站式手术。术前CTA检查提示患者左心耳深度较浅,考虑到既往左心耳封堵器对左心耳深度要求较高,而最新一代的WATCHMAN FLX™由于改良的设计,对深度要求大大降低,术中安全性和术后的有效性在临床表现中更加优异,在左心耳封堵器械的选择上,决定使用WATCHMAN FLX™进行左心耳封堵。

TAVR手术评估

患者为三叶式主动脉瓣,瓣叶显著增厚,R-N间部分增厚融合,轻度钙化;结合瓣环及瓣上分析,选择TaurusElite AV29瓣膜植入;

双侧股动脉入路条件尚可,钙化分布较多,以右侧股动脉为主入路,TaurusElite输送器柔顺性好通过性佳,可较为安全的完成植入。

主动脉根部CTA评估

入路评估

TAVR手术过程

主动脉根部造影

球囊预扩

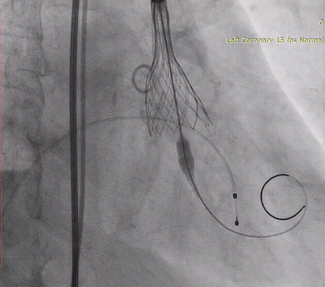
瓣膜释放

完全释放后造影

LAAC手术评估

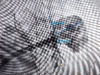
CTA肝位多平面分析

CTA锚定封堵开口平面分析

CTA模拟TEE观察左心耳

由于患者高龄,术前未行TEE检查,CTA检查后,提示患者左心耳内无血栓。多平面肝位重建分析患者左心耳开口24.6mm,模拟TEE检查左心耳开口21.5mm-24.7mm,左心耳口部封堵面分析平均开口直径24mm,肺静脉脊较长,左心耳深度较浅,拟选用WATCHMAN FLX™ 31mm封堵器封堵。

LAAC手术过程

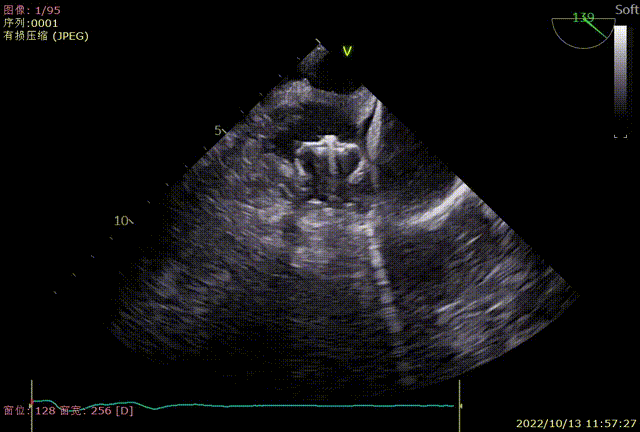
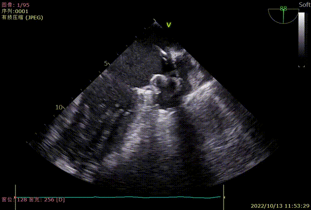
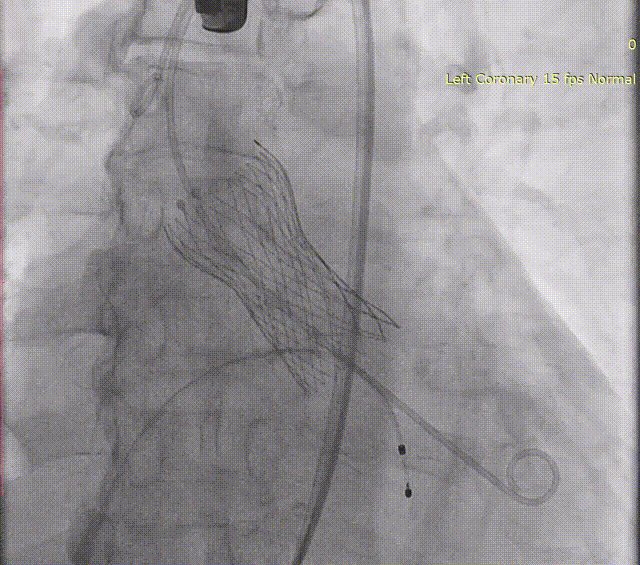
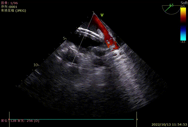
TAVR手术完成后,在TEE指导下,白明教授顺利偏下偏后完成了房间隔穿刺,同时TEE再次检查左心耳开口19-20mm。DSA造影观察与术前CTA多平面重建结果吻合,左心耳浅鸡翅型,测量左心耳开口24.9mm深度22mm。经过充分讨论和手术策略分析,决定为患者使用WATCHMAN FLX™ 31mm封堵器进行左心耳封堵。WATCHMAN FLX™器械由于和WATCHMAN设计的不同,导引鞘不需要进入左心耳远端,即可安全展开封堵器。术中白明教授送入WATCHAMN FLX™ 31mm输送系统后,退鞘形成FLX BALL,后采用进退结合法,“毛毛虫”式展开封堵器。造影观察封堵效果理想,牵拉试验稳定,在TEE上观察封堵器微露肩,压缩比21%,各角度无残余分流,最终释放左心耳封堵器。术后观察患者心包积液相比术前无变化,生命体征平稳,一站式手术顺利完成。

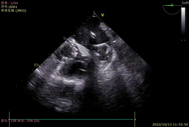
 术中TEE各角度检查左心耳

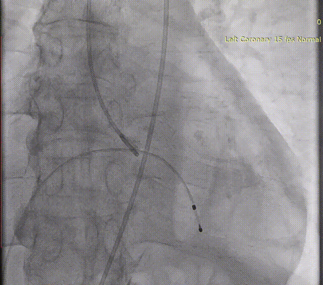
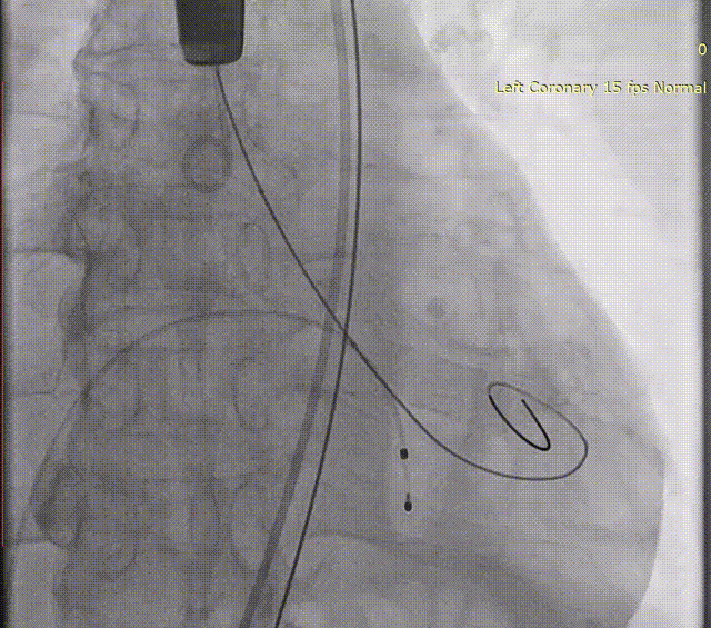
肝位左心耳造影

测量左心耳开口24.9mm,深度22mm

退鞘形成FLX BALL

WATCHMAN FLX™释放 

TEE0度封堵效果

TEE45度封堵效果

TEE90度封堵效果

TEE135度封堵效果

专家简介

白明

兰州大学第一医院

主任医师,医学博士,教授,硕士生导师,兰州大学第一医院副院长。甘肃省医学会心血管病专业委员会主任委员,甘肃省心血管疾病重点实验室主任,甘肃省心血管介入专业质控中心主任,甘肃省领军人才,甘肃省卫生健康行业骨干人才,中国医师协会心律学专业委员会委员,中国医师协会胸痛专业委员会委员,中国胸痛中心认证专家,国家卫健委。冠心病、心律失常及先心病介入培训基地导师。

阅读数: 7988