
“最美技法”本月迎来“左心室电极植入技术”专题,全国的导师们通过自己多年的植入经验给到中青年术者以启发,帮助加快成长速度,应对各种挑战。
引用一位导师寄语:CRT植入技术是集冠脉、电生理和起博技术于一身的综合技能体现,只有全面掌握这些技能,才能遇难而不惧!
本期导师

彭长农 深圳市孙逸仙心血管医院
左室电极植入技巧分享
内容
CRT左室电极植入中的挑战和应对
● 冠状窦血管的结构
● 寻找冠状窦口的方法
● 冠状窦造影的要求及注意事项
● 如何选择最佳冠状窦侧枝血管
● 如何选择左室电极: 稳定固定,避免膈肌刺激,低阈值,尽量避免心尖起搏
● 放置左室电极的辅助方法
如何实现心脏再同步治疗有效临床应用
● CRT适应证掌握很重要,但左室电极成功放置到冠状窦侧支血管更是对医生综合素质的高要求,熟练电生理、起搏和PTCA等技术;
● 每一次CRT手术,要不畏挑战 ,在左室电极放置的每个环节,胆大心细,正确应用植入工具;
● 术前心衰的控制,术后CRT参数的优化非常重要。
左心室最佳电部位起搏,有赖于冠状窦静脉侧支的选择
典型的冠状窦解剖图解
● 冠状静脉一般有3-5个主要分支,在血管造影时清晰可见,其中3个主要分支是心中静脉、后侧或侧静脉和前室间静脉,均可用于左室起搏,常选择后侧或侧静脉,勿植入心大静脉。

右心房的解剖

左室电极植入关键步骤
● AP 前后位
最简单的观测切面
● LAO左前斜
可发现哪些静脉位于左室壁
室间隔与外侧电极导线分离程度
● RAO右前斜
可完全显示冠状窦的静脉分支
可显示心尖部与心底的分离程度

进入窦口困难
● 常见原因
● Thebesian 瓣
54%的患者有Thebesian瓣
● 突出的 sub-eustachian pouch
● CS开口变异:如位于高位右房


冠状静脉窦系统异常处理方法
1、冠状静脉窦开口异常处理
● 手术时窦口不易找到,因此冠状静脉窦插管常失败,这种现象与术者的操作技能和经验也有一定的关系
2、方法
● 在左前斜35-45度或右前斜30度,借助电生理导线,沿脊柱右侧沿,常于三尖瓣下缘较易找到窦口
● 选择合适的左室递送系统,帮助电生理导线寻找
● PCI方法:AMPLATZ、JR导管辅助超滑导丝
● 术前冠状动脉延迟造影,显示冠状窦口位置
3、植入工具的更新换代
冠状窦侧枝血管有多条选择,走向成角不一
冠状窦侧枝血管走向
1、解剖变异较大
2、静脉分支开口呈锐角或成角不一
3、静脉开口瓣膜覆盖
4、静脉细小或过度扭曲
5、血管狭窄
6、心肌桥
冠状窦静脉主干Vieussen瓣阻挡

Vieussen valve
● 使用比较硬的导丝
● 使用可控的导管通过瓣膜处
● 使用鞘中鞘帮助电极导线通过瓣膜处




PCI技术在CRT中的应用
● 主要采用深插指引导管、子母导管技术、锚定技术(导丝,球囊,支架)、双导丝及逆行导丝技术以及球囊扩张等技术
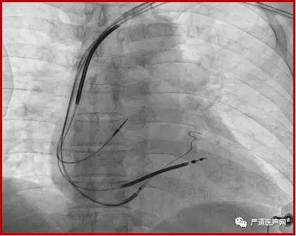
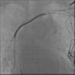
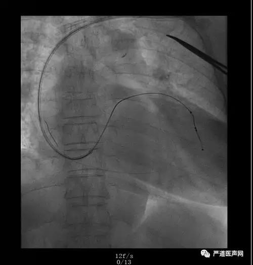
病例一


Metronic 4296 双阴极电极,6248辅助鞘
手术过程




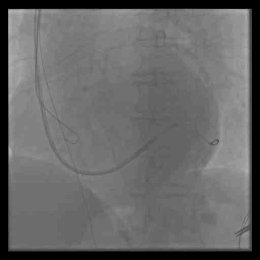
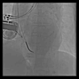
病例二


Finecross微导管,runthrough,pilot150,conquest Pro,RG3导丝 2.5*20球囊
手术过程






换瓣患者经冠状静脉起博
● Name:Mrs Chen
● Gender:female
● Age:44 years old
● Arrival date:2015/11/19
● Chief complaint: heart murmurs appear 44 years, palpitations, shortness of breath for 1 week, aggravated for 2 hours.
UCG
● LVEF:60%.
● Diagnosis:
● Congenital heart disease.
● Tricuspid chordae tendinae rupture with remarkable tricuspid regurgitation.
● Outflow tract of right ventricle is obstructed severely.
● Mild/Moderate regurgitation was detected in mitral valves.

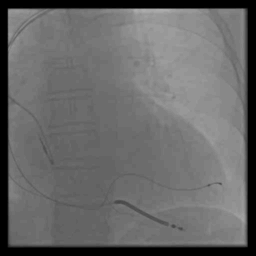
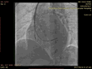
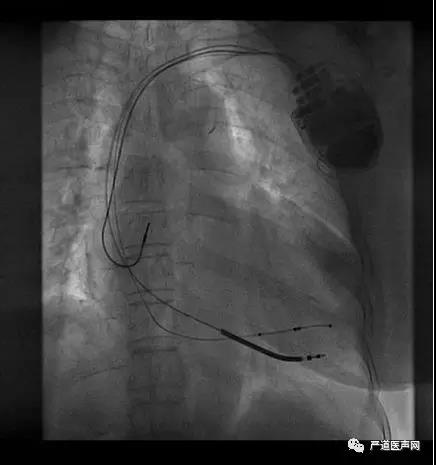
病例三


手术过程


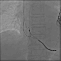
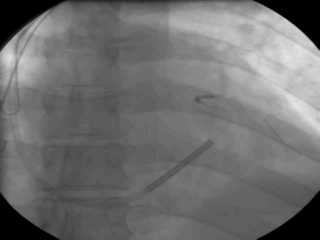
病例四


术前冠脉造影
手术过程




病例五


手术过程
● 冠状窦中段狭窄、成角畸形,经长鞘推送Runthrough导丝至冠状静脉心室侧后静脉远端,沿导丝送左室电极到冠状窦侧后静脉未成功,不除外Vieussen瓣阻挡



使用HI-70RQUE导丝锚定未成功

● 使用6248鞘中鞘辅助加强支撑后顺利沿导丝推送左室电极至靶血管
左室参数:
● 阈值 1.0V 阻抗 580Ω


病例六


● 男,43岁,扩张性心肌病
● 术中见靶静脉狭窄,电极送入困难,采用球囊扩张、鞘中鞘技术送入电极


病例七


病例八


术前冠脉造影



血管选择 一


血管选择二


血管选择三
术中测试
● 左心室阈值:LV4-Coil 1.25V
● 右心室阈值:0.5V
● 右心房阈值:0.5V

最终影像



小结:
● 理想的左室电极的置入是CRT手术成功的关键和挑战,亦是决定病人预后的重要因素。
● 熟知冠状静脉窦的开口位置及血管解剖、走行是手术成败的前提。
● 工欲善其事,必先利其器”,必须了解各种植入器械的功能和特点,并善于使用。
● 将电生理、起搏和冠脉介入技术融合使用是左室电极成功植入的保障。