2018年7月7日,第十二届中国中西部心血管病学术会议火热召开期间,由美敦力主办的“最美技法——中西部论坛CRT专场”如期启动。会议邀请了多位心血管领域知名专家共同分享交流探讨CRT植入过程和术后管理中成功及疑难的案例,进一步提高CRT在临床实践中的应用。

1.png

会议现场

此次会议邀请中国医师协会心律学专业委员会主任委员、中国医学科学院阜外医院张澍教授,南京医科大学第一附属医院曹克将教授,中国医学科学院阜外医院华伟教授华伟教授担任会议主席。浙江绿城心血管病医院沈法荣教授,新疆医科大学第一附属医院汤宝鹏教授,中国医学科学院阜外医院陈柯萍教授,西安交通大学第一附属医院薛小临教授,西京医院刘兵教授,福建省立医院陈林教授,华西医院刘兴斌教授,安徽省立医院严激教授,云南省第一人民医院范洁教授担任点评专家。

2.png

与会专家讨论激烈

3.jpg

  上半场上由四川省人民医院陶剑虹教授,海南省人民医院吴明教授,遵义医学院附属医院石蓓教授,中国医学科学院阜外医院戴研教授主持。

4.jpg

  下半场由成都市第二人民医院胡咏梅教授,西南医院舒茂琴教授主持。

会议分为上下两半场,上半场聚焦CRT植入过程的要点和操作技巧;下半场关注术中常见问题的处理方法。

5.jpg

张澍教授致开幕词

会议主席张澍教授在开幕致辞中表示,此次会议通过广大中青年术者展示在植入CRT中遇到的实际案例,并由在场经验丰富的导师进行点评和分享,让中青年术者开阔眼界,加强植入信心,从而提高CRT应用的积极性。


本期索引

导师分享一:CRT植入过程的要点和操作技巧

病例一:亚鞘管使用成功植入CRTD一例

病例二:CRT-D左室电极植入失败后行左束支起搏一例

导师分享二:术中常见问题的处理方法

病例三:CRT术中并发症后的抉择

病例四:遭遇冠状窦畸形的左室电极植入一例

病例五:主动脉瓣置换术后CRT-D植入


导师分享一    CRT植入过程的要点和操作技巧

6.jpg

病例汇报

分享专家:浙江绿城心血管病医院 沈法荣

分享内容:

CRT植入是多种技术,包括EP、起搏及PCI技术的综合。随着植入技术的熟练、一些特殊技术的应用及辅助工具和导线等的改进,目前CRT植入成功率已明显提高。根据CRT植入手术过程,CRT植入要点包括寻找CS开口,冠状静脉造影与靶血管选择,左室导线植入,测试及撤鞘四个方面。

寻找CS开口的方案包括:(1)传统方法:使用冠状窦电生理标测电极和左室递送系统一起寻找冠状窦口;(2)Amplatz导管+超华泥鳅导丝;(3)特殊塑形左室递送鞘;(4)顺向性冠状静脉显影;(5)术前行冠状静脉CTA。

冠状静脉造影可借助造影球囊,获取更加清晰的静脉分支情况。根据靶静脉的内径,与主干的成角及扭曲等来选择单、双极或多极导线,并根据有无并发症及导线的稳定性等选择主动固定导线。左室导线的植入可应用导引导管深置,球囊扩张术,锚定技术,鞘中鞘技术等技术。在撤除递送鞘时,应持续透视观察导线头端和RA/CS交界处,并保持右手的稳定。


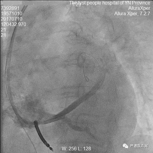
病例一    亚鞘管使用成功植入CRTD一例

7.jpg

病例汇报

汇报医师:西安交通大学第一附属医院 韩克

病例:

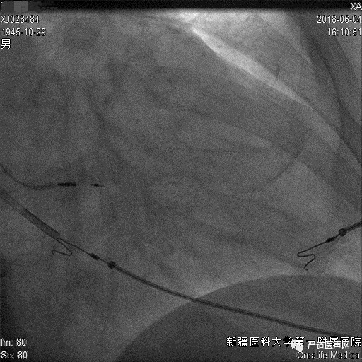
76岁男性,间断胸闷气短20余年,加重伴头晕2个月,1年前因胸闷气短就诊于当地医院,诊断为冠心病频发室性早搏,完全性左束支传导阻滞,间断服药后症状稍有好转。2个月前症状加重,伴头晕,偶有黑曚,视线不清,当地医院诊断为心律失常,三度房室传导阻滞,扩张型心肌病。入我院后心动超声显示EF 35%,室间隔及左室搏幅减低,主动脉硬化,肺动脉高压收缩压为41mmHg,左室收缩功能减低,二、三尖瓣少量反流,NHYA心功能III级。存在CRT明确适应证。手术要点:多次尝试靶静脉与心大静脉夹角,电极无法进入靶静脉血管,随后使用亚鞘管寻找靶静脉,配合外鞘应用进入冠状窦,成功植入LV电极。

8.jpg

9.jpg

术中影像


病例二    CRT-D左室电极植入失败后行左束支起搏一例

10.jpg

病例汇报

汇报医师:新疆医科大学第一附属医院 张疆华

病例:

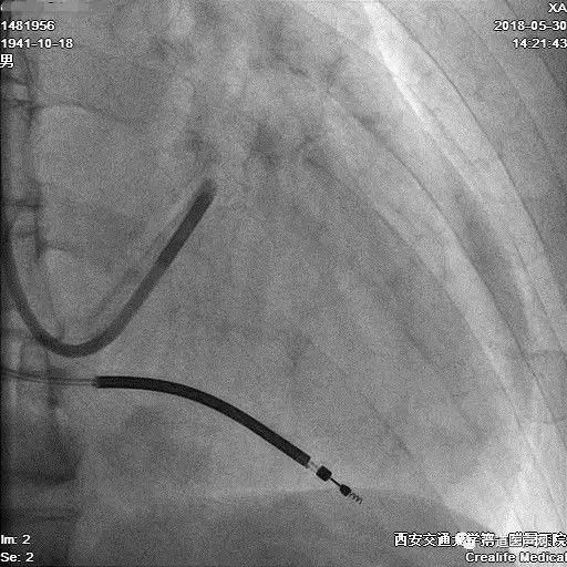
72岁男性,10个月前无明显诱因出现胸闷,伴有气短,夜间阵发性呼吸困难,曾在当地医院诊断为心功能不全,服药后间断出现主诉症状,有冠心病病史,近10余天症状加重。入院后心脏超声示左房、左室腔增大,左室壁节段性运动减弱并左心功能不全,EF 34%。心电图示窦性心律,LBBB,QRS 160ms,偶发室早,完全性左束支传导阻滞。诊断为急性失代偿性心力衰竭,心功能IV级。冠状动脉粥样硬化性心脏病,缺血性心肌病,心律失常,偶发室早,完全性左束支传导阻滞,II型糖尿病。

手术要点:

脉状静脉逆行造影显示侧静脉分支,考虑侧静脉细小不适合植入四极电极,遂决定行后侧静脉造影,侧后静脉造影仍旧不理想。综合血管情况考虑,尝试鞘中鞘造影靶血管,多次尝试后电极仍旧无法进入靶血管,继续递送双导丝增加支撑力后发现无效,使用球囊扩张开口狭窄处,扩张后重新递送PTCA导丝,发现无法找到开口处,行静脉造影发现靶血管开口处闭合,只能考虑更换靶血管,尝试后侧静脉,电极仍旧未能走至远端,同时测试电极参数不理想。讨论后决定放弃左室电极植入,行左束支起搏,使用C315HIS鞘+3830电极定位希氏束位置,然后用另外一根3830从右束支穿过室间隔到左束支固定。

11.jpg

12.jpg

鞘中鞘靶血管造影

13.jpg

希氏束定位

术者总结:

14.jpg

术后心电图

左束支区域起搏或是希氏束起搏是一个重大的创新,操作更便捷,适用病人更广泛,解决了左室电极的一些不足。对于CRT适应证的心衰患者,HISP或是LBBP起搏是很好的补充。但此项技术尚属于早期研究阶段,还缺乏大规模RCT循证支持,远期预后的疗效尚不明确,因此不能作为常规CRT治疗的推广。

专家点评讨论:

球囊扩张对于静脉狭窄的病人有一定帮助。该患者由于侧静脉血管较细,术中应考虑进行球囊扩张是否合适。希氏束起搏的植入过程应观察希氏束电位情况,此病例没有完整的导线植入后起搏参数变化情况资料,因此还应明确希氏束起搏是否纠正了左束支传导阻滞。

完全性左束支传导阻滞合并心力衰竭患者通常是CRT的适应证人群。虽然希氏束起搏目前还没有得到广泛的推广,但其纠正心衰患者是可行的,期待更大规模的临床研究证实其稳定性和疗效。


导师分享二    CRT术中常见问题的处理方法

15.jpg

病例汇报

分享专家:中国医学科学院阜外医院 陈柯萍

分享内容:

在临床中,CRT治疗常常会遇到冠状静脉窦解剖异常,窦口异常、扭曲、位置异常,靶静脉解剖异常,膈神经刺激,术中并发症如左室导线脱位,冠状静脉夹层等问题,进一步增加了CRT植入术的难度。

术中根据患者的造影结果选择合适的左室电极,找到合适的起搏位点,必要时可更换左室导线。如遇到造影导管球囊充气致血管夹层,LV导管进入过深,膈神经刺激,后静脉粗大,易脱位等问题时,可考虑植入左室四极导线,多位点起搏,提高CRT反应性。

总而言之,临床中可通过更换不同的工具,如左室递送系统、冠状窦电极或换造影导管,不同性能的导引钢丝以及左室导线等来有效解决CRT术中遇到的困难,此外,更换体位和血管在术中也尤为重要,如遇到导丝无法通过,也可尝试希氏束或左束支起搏,左室心外膜导线,左室心内膜导线等植入方法。不建议因为遇到植入困难就简单降级为ICD治疗,令患者丧失CRT治疗机会,导致病情恶化。

16.jpg


病例三    CRT术中并发症后的抉择

17.jpg

病例汇报

汇报医师:云南省第一人民医院 匡晓晖

病例:

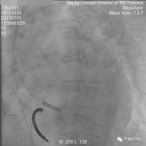
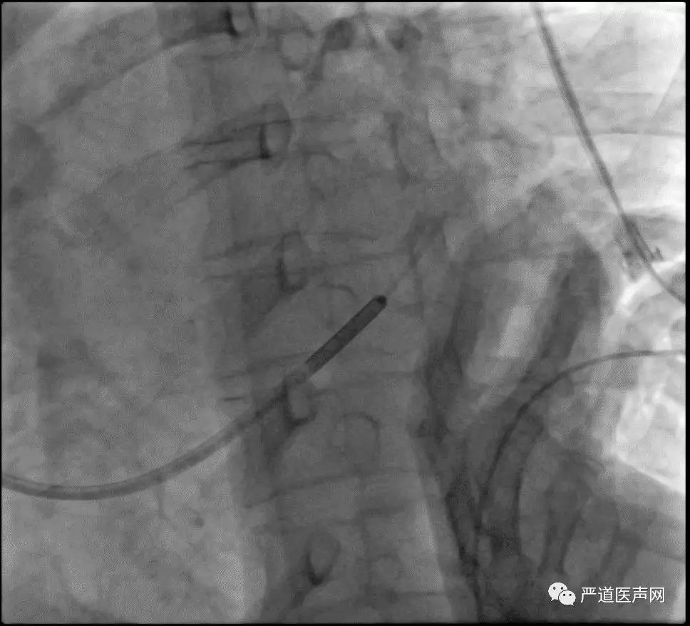
60岁男性,因活动后气促一年于2017年7月3日入院,既往有高血压病史4年,最高血压150/90mmHg,自服降压药物,血压控制在130-140/70-80mmHg。查体:BP 110/70mmHg,颈静脉充盈,双肺呼吸音粗,双肺底可闻及湿罗音,心界向左下扩大,双下肢浮肿。心脏彩超显示左心房扩大4.0cm,左心室舒张末内径6.5cm,EF 27%,室壁弥漫性运动减弱。诊断为扩张型心肌病,心功能III级,三度房室传导阻滞,高血压I级。

手术要点:

长鞘顺利进入冠状窦,冠状窦逆行造影显示静脉夹层。随后行冠状动脉造影观察冠状窦开口情况,可见真假腔显影,通过右冠造影管在长鞘支撑下找到冠状窦口,重新观察造影后,只见真腔显影,长鞘顺利进入真腔后,成功植入左心室电极。术后心电图示QRS 132ms。术后规律服药后心功能明显改善,10个月行心脏彩超提示LVD 55mm,EF 0.45。

18.jpg

冠状动脉造影显示冠状窦

19.jpg

长鞘进入真腔

20.jpg

逆行导丝

21.jpg

成功置入三根电极

术者总结:

放置CS导管操作要轻柔,行CS逆行造影前注射少量造影剂明确有无夹层,夹层发生后需再次评估冠状静脉。

专家点评讨论:

左心室导线植入过程中最为常见的并发症之一为静脉夹层,它是导致CRT植入失败的重要原因之一。临床中应尽可能的避免静脉夹层,术者应注意规范操作,熟悉工具,仔细观察造影图像。由于造影管头端很细很尖,为避免人为造成夹层的扩大,应避免盲目送入造影导管。尽管CRT植入术中会遇到很多困难,但有大量研究证实CRT是有效的,并且可以成功实施,临床医生应该对CRT植入术有信心。


病例四    遭遇冠状窦畸形的左室电极植入一例

22.jpg

病例汇报

汇报医师:遵义医科大学附属医院  王冬梅

病例:

52岁女性患者,因劳力性气促2年,加重3天入院。查体BP 87/53mmHg,双肺可闻及湿罗音,心界向左扩大,心率120次/分。心电图示心房扑动,LBBB(QRS时间0.15s),室性早搏。心脏彩超示Lvd 59mm,EF 20%。诊断为扩心病,房扑,全心衰,心功能III-IV级。符合CRT-D适应证。手术要点:尝试多种方法寻找冠状窦口失败,考虑冠状窦畸形,从股静脉顺利置入冠状窦电极导管,保留下肢冠状静脉窦的电极,指引导丝至下腔静脉,电极顺利进入冠状窦。

23.jpg

24.jpg

25.jpg

术中影像

专家点评讨论:

由于冠状窦口扭曲、变形、位置异常等,导致左室导线植入困难,可通过更换导丝、导管,甚至更换术者来尝试解决。临床中应多积累经验,遇到植入困难时尝试不同方法来提高手术的成功率。


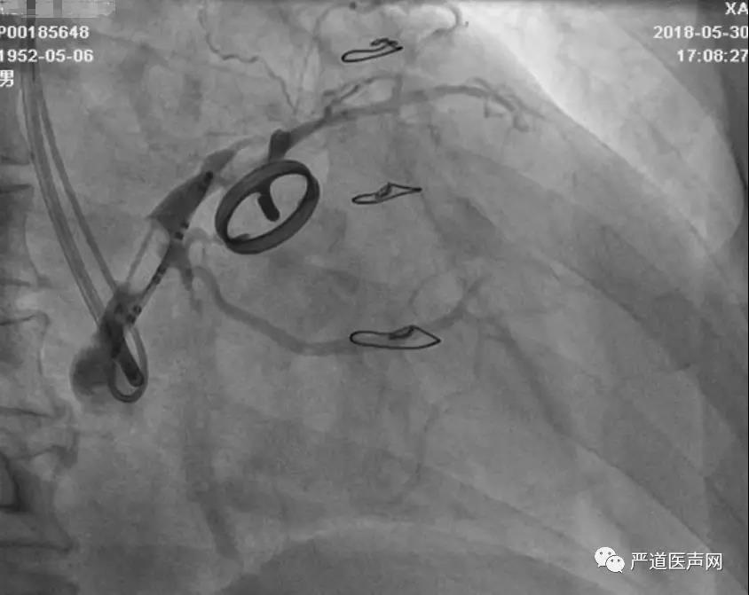
病例五    主动脉瓣置换术后CRT-D植入

26.jpg

病例汇报

汇报医师:湖北省荆州市第一人民医院 周忠泉

病例:

66岁男性患者,2000年因气短,发现心脏杂音,诊断为主动脉瓣狭窄并关闭不全,行主动脉瓣机械瓣置换术,后因反复气喘20余年,加重半年于2018年5月入院。心脏彩超示:LVEDd 69mm,LAd 44mm,RVd 30mm,LVEF 23%,主动脉瓣机械瓣置换术后功能良好,二尖瓣、三尖瓣少量反流。心电图示窦律,完全性左束支阻滞,QRS 210ms,监测示频发室早,短阵室速。手术要点:送入冠状窦十极电极,作为路标,鞘管在红靶消融电极指引下进入冠状窦。通过组合图像找到靶血管,导丝锚定于心中静脉,加强系统支撑力,撤出Pilot50导丝,保留微导管,更换为300cm BMW导丝,随后植入左室电极。

27.jpg

28.jpg

29.jpg

专家点评讨论:

术中导线脱位可能指引导管的支撑力不够,应选择适当导引导管,确保引导管有好的支撑力。撤鞘时保留放置导线时用的钢丝或导丝,以保持其稳定性。

30.png

本次最美技法上下两个半场的病例交流、导师点评让在场的植入术者和心内科医师都听得聚精会神,坚持了三个小时全程参与。陈林教授提到,虽然这些病例很难,但是对于中青年术者的成长帮助巨大,成为成熟术者指日可待。另一方面,刘兴斌教授补充:CRT植入手术其实是一个常规的纠正左右心室不同步的心衰器械疗法,在国内开展了将近20年,大部分的植入都是非常顺利的,患者也有很好的疗效,希望在场的心内科医师不要因为看到这些困难病例影响了开展手术和推荐疗法的信心。因为左室植入工具的发展,使得CRT植入手术时间大大缩短,提高了电极植入成功率,也降低了感染风险。对于中青年术者来说,多操练、多交流,才能遇难不惧、融会贯通。


本期使用工具介绍:

Attain Select™ II + SureValve™ 传送导管系统(鞘中鞘)

31.jpg

□  不透光的头端便于在透视下观察

□  成角头端设计帮助静脉分支选择

□  柔软、会聚的头端可平滑插入并扩张静脉

□  一体式止血阀,易于操作

32.png