
最美技法CRT网络新晋赛每月一个主题,线上投放。分为“导师风采篇”和“新晋达人篇”,其中“导师分享篇”将由主办方约稿该专题资深导师进行病例难点分析和经验传递,每篇2~3位导师坐镇;“新晋达人篇”由中青年CRT术者投稿,导师甄选出优质或有讨论价值的病例,投放后进行点评,以起到相互交流促进的作用。
本期导师

袁义强 郑州市第七人民医院
靶静脉严重狭窄四极导线植入一例
病史
裴某某,女,60岁,以“反复胸闷气促3年,再发1月,加重6小时”为主诉入院;
1年前外院CAG术检查未见异常、心脏彩超提示全心扩大,EF值明显降低,诊断扩张型心肌病,药物治疗效果欠佳,1月前外院行holter提示:频发室早、短阵室速,6小时前再次出现胸闷、咳嗽、咳白色粘痰,持续不缓解,急诊入我院。
入院查体:T 36.5℃,P58次/分,R19次/分,BP100/64mmHg,双肺呼吸音粗,可闻及干湿性啰音,心界大,律齐,二尖瓣瓣膜区可闻及3/6级收缩期吹风样杂音,肝脾未触及,双下肢无水肿。
辅助检查ECG2017.12.21:

ECG提示:
1.窦性心律
2.完全LBBB
3.QRS191ms
心脏彩超2017.12.2外院:

左房:52mm
左室LVDd:71mm
LVEF:28%
Holter2017.12.13外院


频发室早、短阵室速
入院诊断:
1.扩张型心肌病,心功能IV级
2.心律失常-频发室早、短阵室速
3.肺部感染

根据2016年ESC最新CRT指南,该患者符合CRT的I类适应证,A级证据,于2017.12.26给患者植入美敦力四极CRTD(DTBC2QQ)
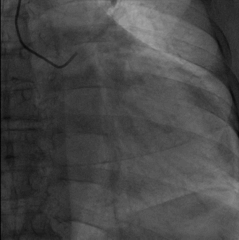
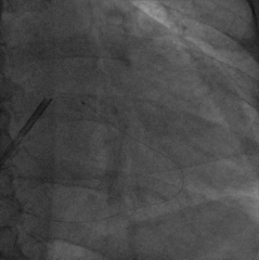
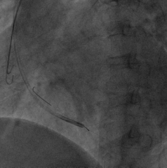
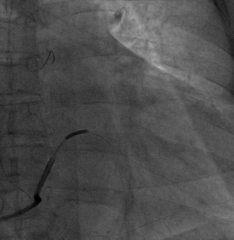
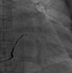
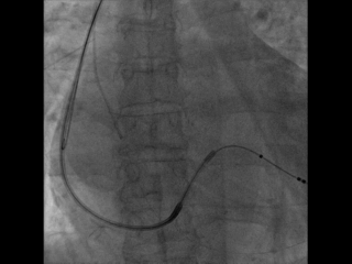
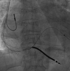
手术经过:首先冠脉造影延迟显影可见冠状窦开口及靶静脉大致走行

AP

LAO45

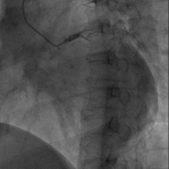
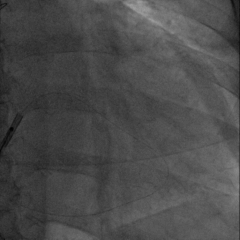
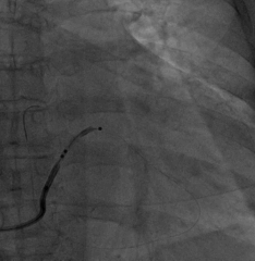
6225i球囊造影可见轻微夹层,远端未显影

6250VIS鞘管直接造影可见分支显示良好

AP

LAO

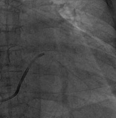
选择哪根靶静脉?


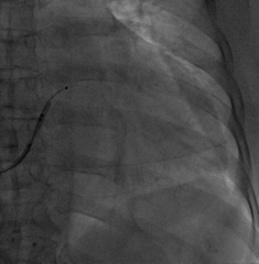
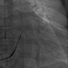
选择后侧静脉,Runthough导丝顺利通过并与心中静脉交通回到右心房,但左室4298电极无法通过狭窄处。


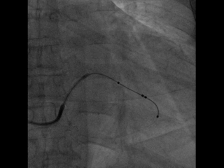
因4298外径在5.3F,故选用Maverick2.0X15mm预扩球囊在狭窄处给予充分扩张


扩张后电极仍无法通过


尝试心中静脉,但血管扭曲,导丝进入困难


尝试侧静脉,但远端过于狭窄,电极无法完全进入分支,测试结果不理想,只能放弃该血管


再次尝试后侧静脉,改用Sprinter Legend2.5X15mm预扩球囊扩张,可见明显腊肠样狭窄,给予28atm时方可见完全扩张


电极仍然无法通过,造影发现狭窄依然存在


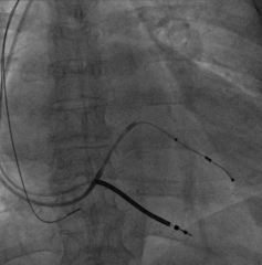
尝试鞘中鞘试图通过狭窄处,但电极仍然无法通过


尝试Quantum Maverick3.0X12mm后扩球囊进行扩张


电极依然无法通过狭窄处,放弃手术?


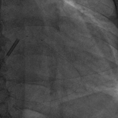
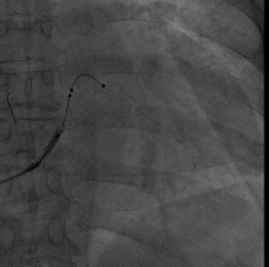
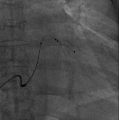
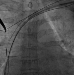
尝试抓捕器在右房抓捕runthough导丝成功,并进行牵拉


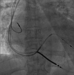
非常幸运,通过抓捕器的牵引力,电极顺利通过狭窄处,确定电极固定牢靠,抓捕器释放导丝并撤出,初步测试左室阈值满意,没有PNS。


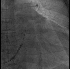
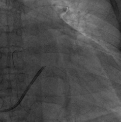
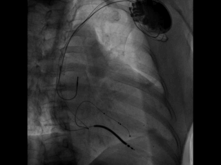
依次植入右室除颤导线(6935M-DF4)和右房导线(4574),均测试满意,分别固定。


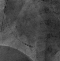
关键一步,鞘中鞘和递送鞘管的切除,均比较顺利,电极无移位。

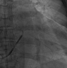
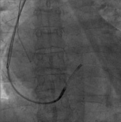
AP

LAO45

RAO30
固定左室电极,连接CRTD(DTBC2QQ),手术最终影像
在缝合过程中即由工程师进行无线测试(可不通过程控探头探寻)

如上图,通过Vector Express功能很快自动测试四极多向量的阈值供参考,选择LV2-LV3向量,该向量阈值最低,预估寿命最长

心房、右室、左室的其它参数也均满意
经过术后即可优化,QRS宽度即刻缩窄!预示患者良好的预后。


小结和思考:
目前CRT是治疗伴有完全LBBB的扩张性心肌病心衰的一线疗法,四极导线的应用使这一疗法的植入成功率进一步提升;
该病人适应证非常确切,但靶静脉植入较为困难,分别使用了鞘中鞘、球囊扩张、抓捕器牵拉等方式,最终结果满意;
冠状静脉畸形是CRT植入的难点,处理和解决方法有待大家思考;
冠脉技术在CRT植入的重要性已经不言而喻,CRT医生多为电生理医生,必要的冠脉技术需要掌握。