
最美技法CRT网络新晋赛每月一个主题,线上投放。分为“导师风采篇”和“新晋达人篇”,其中“导师分享篇”将由主办方约稿该专题资深导师进行病例难点分析和经验传递,每篇2~3位导师坐镇;“新晋达人篇”由中青年CRT术者投稿,导师甄选出优质或有讨论价值的病例,投放后进行点评,以起到相互交流促进的作用。
本期导师

陈柯萍 中国医学科学院阜外医院
经鞘中鞘通过冠状静脉瓣膜植入左室导线一例
患者信息:
患者女性,56岁
活动后心悸、气促2年,加重2月
● 2年前活动、劳累或受凉后出现心悸、气促、咳嗽,休息后缓解
● 2018年3月15日出现右下腹疼痛,伴有心悸、气促、咳嗽,外院心脏彩超示LA: 45mm, LV: 74mm, EF:21%。动态心电图示频发室早、短阵室速、完全性左束支传导阻滞
入院心电图

超声心动图

● LVEDD 69mm
● EF 28%
● 左室壁运动弥漫性减弱
● 左心扩大
CT诊断报告

诊断
扩张型心肌病
● 心脏扩大
● 心律失常
➛ 频发性室性期前收缩
➛ 短阵室性心动过速
➛ 完全性左束支传导阻滞
● 心功能II级(NYHA分级)
治疗
完善药物治疗
● 螺内酯 20mg qd
● 地高辛 0.125mg qd
● 盐酸胺碘酮片 200mg qd
● 盐酸曲美他嗪片 20mg tid
● 卡维地洛片 12.5mg bid
● 诺欣妥 50mg bid
CRT-D植入
● CLBBB, QRSd >130ms, LVEF 28%,心功能 II级
CRT-D植入过程
冠状窦十极进入冠状窦口,遇阻力无法前行

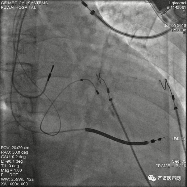
反复调整角度后长鞘进入冠状窦口

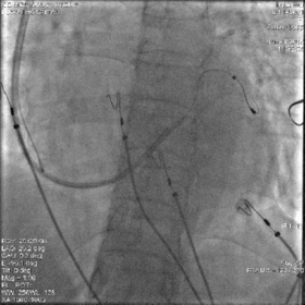
鞘管位置较低且向远端推送有阻力,考虑可能超选进入后静脉,需造影确定鞘管位置
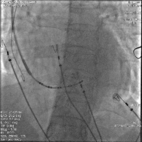
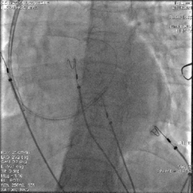
经长鞘直接造影确定鞘管位置

造影示鞘管已经超选进入后静脉,不在冠状窦主干内,同时侧静脉及冠状静脉主干显影。可见冠状静脉主干向上,走形角度较大

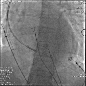
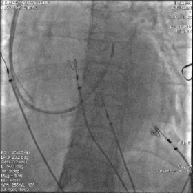
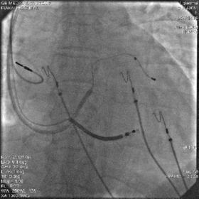
“双泥鳅”法进入冠状窦主干

将一根泥鳅留在后静脉内作为支撑,回撤长鞘至冠状窦口,使用另一根泥鳅按造影显示进入冠状窦主干
将长鞘送入冠状窦主干


顺利找到冠状窦主干,将两根泥鳅都送入主干内加强支撑,再送入长鞘
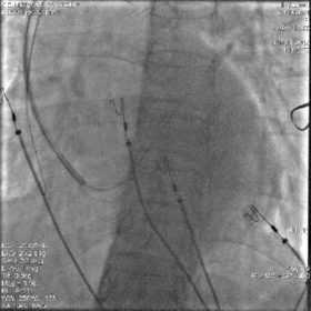
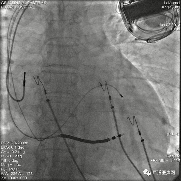
冠状窦十极电极仍无法送到远端

尝试将冠状窦十极送到远端有阻力,反复尝试失败

回放造影,可见侧静脉及冠状窦主干显影,主干无明显狭窄,考虑侧静脉开口前有瓣膜阻挡
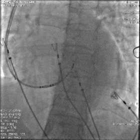
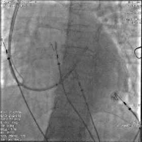
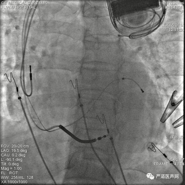
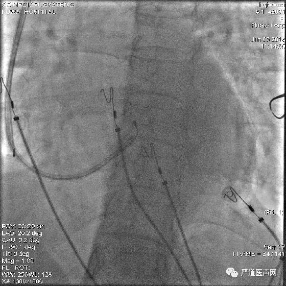
尝试使用泥鳅导丝通过瓣膜部位

再次放入泥鳅导丝,通过瓣膜部位到冠状窦远端
鞘中鞘经泥鳅导丝,通过瓣膜部位

鞘中鞘搭在靶静脉口

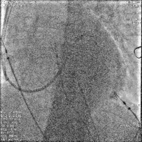
经鞘中鞘送左室导线进入侧静脉,张力大,左室导线前行困难

鞘中鞘前行支撑下仍无法进入

将鞘中鞘被再次送到靶静脉口支撑,由于分支太细,左室导线仍无法深入
调整左室导线,进入另一位置较高的分支

再次尝试PTCA导丝进入较高分支,左室导线顺利进入
放置心房心室导线

最终影像

AP

LAO

RAO
讨论1-长鞘超选进入后静脉的处理

后静脉开口距冠状窦口较近,因此在找寻冠状窦过程中容易超选进入后静脉
如何处理:
● 如将鞘管直接撤回找寻主干,容易脱出窦口,需要重新寻找冠状窦;
● 双泥鳅法:将一根泥鳅留在后静脉内作为支撑,回撤长鞘至冠状窦口,使用另一根泥鳅探寻冠状窦主干。
讨论2-鞘中鞘的多种用途
常规用途:

在靶静脉与主干夹角成直角或锐角时,帮助找到靶静脉开口,并在开口处作为支撑,帮助左室导线植入。
本例用途:

冠状静脉窦瓣膜阻挡,电极导线无法进入冠状窦远端。如此时泥鳅导丝可进到远端,可先用使用鞘中鞘通过瓣膜部位,再通过鞘中鞘送入导线。