心脏再同步化治疗(CRT)经过多年的发展,已成为心力衰竭非药物治疗的有效方法。大量临床研究已经证实,CRT在改善心衰患者生活质量的同时,也能明显降低死亡率。
2018年7月5日,由美敦力公司主办的“最美技法”——CRT手术技巧讨论沙龙北京站成功举办。

会议现场
此次活动邀请了中国医学科学院阜外医院华伟教授担任主持人,河北省石家庄市白求恩国际和平医院王冬梅教授,中国医学科学院阜外医院樊晓寒教授、侯翠红教授担任点评专家。
中国医学科学院阜外医院顾敏医师,山西心血管病医院郭彩霞医师,阜外华中心血管病医院马继芳医师,哈尔滨医科大学附属第一医院谢荣盛医师分别带来了精彩的病例分享。

华伟教授主持会议并介绍CRT植入流程

王冬梅、樊晓寒、侯翠红教授担任点评专家
华伟教授指出,CRT是心衰器械治疗的主要方法之一,但其技术难度高,因此在临床中还需要广泛普及,此次活动旨在充分交流CRT植入技术,进一步提高对CRT技术的掌握。随后,华伟教授详细介绍了CRT手术的植入流程,包括术前应准备的工具以及植入步骤。总体来讲,左室导线放置主要包括穿刺静脉、寻找CS、冠状静脉造影、放置LV导线、测试LV导线、撤除递送系统6个步骤。
本期索引
病例一:经鞘中鞘植入左室导线至后静脉一例
病例二:新型左室递送系统和左室四极电极在CRT中的应用一例
病例三:一例CRT超反应患者的奇怪的起搏心电图
病例四:高度房室传导阻滞患者AdaptivCRT应用一例
病例一 经鞘中鞘植入左室导线至后静脉一例

顾敏医师病例汇报
病例汇报
汇报医师:顾敏 中国医学科学院阜外医院
病史:
60岁女性患者,主诉活动后气促8年,加重伴咳嗽半个月入院,有“慢性胃炎”病史,无高血压、糖尿病史,入院心电图显示QRS时限160ms,LBBB;超声心动图显示左房前后径45mm, 左室舒张末内径61mm,二尖瓣中大量反流,肺动脉高压,LVEF 28%。诊断为扩张型心肌病,心脏扩大,二尖瓣中度关闭不全,心律失常,完全性左束支传导阻滞,心功能II级(NYHA分级),慢性胃炎。
治疗策略:予以扩张型心肌病标准药物治疗后 植入 CRT-P(美敦力VIVA C5TR01)
手术过程:
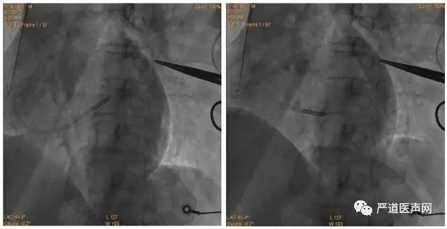
首先进行冠状静脉球囊造影,显示血管较细,预计导线通过困难,考虑可能近段有侧枝或血管未显示,于是在无球囊的情况下再次造影,未发现合适血管。决定尝试近段血管,导丝顺利通过, 但由于靶静脉狭窄,反复尝试电极无法进入,随后深插鞘管以增加支撑力,导丝进入较高分支,电极仍无法进入。于是尝试前侧血管,导丝通过后,电极仍然无法通过。重新分析造影后,尝试后静脉或心中静脉血管, 回撤鞘管至窦口处,保留原PTCA导丝作为支撑,使用另一根PTCA导丝探入心中静脉,尝试送入电极,由于靶静脉开口处扭曲电极依然无法进入。随后使用鞘中鞘在侧枝开口作为支撑,在鞘中鞘支撑下左室电极进入靶静脉, 尝试把电极往深处送,测试左室导线参数良好,阈值Tip端阈值1.5V/0.4ms,5V无膈神经刺激。最后植入右房、右室电极。

AP

LAO 30°

RAO 30°
术者总结:

术后最终影像
如果心中静脉有理想的左侧侧支,可以作为左室导线的靶静脉。使用鞘中鞘有助于顺利植入导线。
专家点评讨论:
在植入CRT的过程中,常常会面临找不到合适的靶静脉、靶静脉较细、电极无法通过等困难,应综合考虑各方面的选择,如是否有其他部位的血管或者血管侧枝可以通过,或应用鞘中鞘帮助顺利植入导线。临床中常常认为后静脉和侧静脉是最合适的植入位置,但是从后静脉的侧枝或者心中静脉的侧枝植入,事实上也能达到较好的效果,即使在心大静脉植入左室导线,也能使一部分患者获益。
病例二 新型左室递送系统和左室四极电极在CRT中的应用一例

郭彩霞医师病例汇报
病例汇报
汇报医师:郭彩霞 山西心血管病医院
病史:
57岁男性,甲状腺功能减退症1个月,一直服用优甲乐等药物,无高血压病、2型糖尿病病史,2009年因活动后心悸、气短、伴腹水、腰部以下水肿、尿少、夜间不能平卧入院,诊断为扩张型心肌病、心功能IV级,给予利尿、强心、扩张血管等治疗后好转出院,院外规律服药,平素日常生活可耐受,重体力活动后出现气短,休息可好转。2018年复查行心脏彩超提示左房、左室扩大,左室壁运动减弱,EF30%,肺动脉压中度升高5lmHg, 动态心电图提示窦性心动过缓,CLBBB, 频发多源室性早搏,24h室早总数5862次。
治疗策略:植入CRT-D
手术过程:
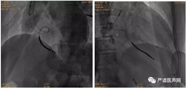
行锁骨下静脉穿刺,将美敦力带止血阀新型左室递送系统送入右房,用EP导管找到冠状窦口,经EP导管指引,将左室传送鞘管送入冠状窦。随后移除EP导管,直接通过递送鞘管进行造影,未发现侧静脉。再缓慢后撤传送鞘管至冠状窦口后,再次进行造影显示侧静脉开口,显影完全,最后植入美敦力4298左室四极电极。

术中通过左室电极递送鞘管寻找侧静脉

术后影像
专家点评讨论:
新型的左室递送系统能简化手术流程,提高手术成功率。四极电极因有多种起搏向量选择,可选择固定良好的血管,同时简化术后左室阀值测试流程,日后新型的左室递送系统、四极电极必将成为CRT植入术的发展趋势。随着技术的不断改进,临床上普遍认为技术难度较高的CRT植入技术也会成为更加简单的技术。
病例三 一例CRT超反应患者的奇怪的起搏心电图

马继芳医师病例汇报
病例汇报
汇报医师:马继芳 阜外华中心血管病医院
病史:
54岁女性患者,反复发作呼吸困难3年,既往按“扩张型心肌病”,药物治疗效果欠佳,6小时前再次出现胸闷、咳嗽、咳白色粘痰,持续不缓解,急诊入院。患者否认高血压、糖尿病病史。入院后心电图显示窦性心律,LBBB,QRS时限160ms,PR间期160ms;心脏彩超显示左室壁运动普遍减低,左心大,LVEDD 64mm, LVEF 31.5%。
治疗策略:植入CRT-D
手术过程:
左室导线置于理想靶血管,顺利植入CRT-D。术后一个月随访,心影明显缩小,心脏结构和功能明显改善。但是常规随访时的心电图显示,左室电极测试正常,QRS波形在自身下传与左室优先起搏之间交替转换,PR间期变短时,QRS与左室优先起搏图形相似,此时左室优先起搏占主导;PR间期变长,QRS与自身下传图形相似,此时RV自身激动占主导。随后将CRT参数调整为LV>RV, 0ms之后,患者心电图显示正常。
专家点评讨论:
PR间期交替变化是由于P波在窦房内游走,导致距离不一样,与QRS波难以区别,可以利用电生理图像来确定PR间期交替变化的原因。CRT双室起搏形成的心室融合波形态包括:(1)当左室起搏失夺获时为完全右室起搏图形;(2)当左室夺获占少量成分,右室夺获占主要成分时,为偏右室起搏图形;(3)左室夺获占主要成分,右室夺获占少量成分,为偏左室起搏图形;(4)双室同时起搏时为中间形态的图形。可以通过调整AV间期,测试观察融合波形。
病例四 高度房室传导阻滞患者AdaptivCRT应用一例

谢荣盛医师病例汇报
病例汇报
汇报医师:谢荣盛 哈尔滨医科大学附属第一医院
病史:
67岁男性患者,劳累后呼吸困难伴胸闷1年,加重一周。入院心电图显示心率33次/分,二度II型房室传导阻滞 ,完全性左束支阻滞,QRS 波时限 200ms;超声检查显示左心房舒张末期内径47 mm,左心室舒张末期内径66 mm,收缩期二、三尖瓣少量反流,EF值35%,左心功能减低;查体:体温:36.7℃,脉搏:33次/分,呼吸:21次/分,BP:110/75mmHg。诊断为扩张型心肌病;心律失常,完全性左束支传导阻滞,高度房室传导阻滞心力衰竭;心力衰竭,心功能Ⅳ级;糖尿病;甲状腺功能减退;高脂血症。
治疗策略:
• 给予强化抗心力衰竭药物治疗,调整心功能
• 患者心衰症状缓解后,植入CRT-D(生理性AdaptivCRT)
手术过程:
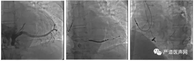
行冠状静脉造影后选择侧静脉为靶血管,经腋经脉植入电极导线,心房电极植入右心房心耳,右心室电极植入中低位室间隔,左室电极植入冠状静脉侧分支,术中测试左心室阈值2.5V,感知15mV,阻抗680Ω;右心室 阈值0.75V,感知20mV,阻抗580Ω。出院后心电图显示QRS波时限138ms。 CareLink远程随访显示患者动态BIV起搏比例99%,AV间期一直动态优化,术后5个月心脏超声提示EF 52%,几乎与正常人相同。5个月后患者回医院随访,自述目前心功能明显改善,可以正常生活,饮食睡眠良好,期间没有因为心衰再住院治疗。

分别为:造影、AP、LAO45°
术者总结:
AdaptivCRT可以通过患者活动度和传导情况自动优化起搏间期。
专家点评讨论:
AdaptivCRT算法对有自身窦律的CRT适应证患者可以发挥最佳疗效,它是利用患者右室自身下传与左室起搏融合以达到纠正左室延迟的目的,研究证明能减少平均40%-50%的右室起搏。AdaptivCRT可以每分钟自动调整AV/VV间期,模拟传导系统生理性变化,是最接近生理状态的起搏方式。
活动的最后,侯翠红教授总结道,此次的病例讨论十分充分,广泛开展此类活动对我国CRT技术的推广普及应用具有重要的意义。临床工作中,大多数心血管疾病患者药物治疗不能达到理想的效果,临床医生应充分认识每个病人的需求,选择功能适宜的起搏器,最终使患者获益。
AdaptivCRT (aCRT)是由美敦力公司开发的优化CRT反应率的算法,能够有效解决因AV间期不当导致的反应率不佳;工作原理是根据患者活动程度和自身AV传导状态,实现每分钟自动调整AV/VV和单左室或双室起博模式转化。
IDE研究中,aCRT组患者较超声优化组大于48h房颤发作减少46%

2013-2017年植入美敦力CRT的随访数据经过回归分析和基线调整后,aCRT组全因死亡率较传统CRT组降低 31%(P=0.023)
