
本期达人

潘晔生 同济大学附属东方医院
病史
男性,71岁
患者主诉胸闷气急一年,加重1个月。至我院心内科就诊。
有冠心病,心绞痛,PCI史,2型糖尿病史6年
高血压病史10年 BPmax 170/100mmHG
心超示:左室壁运动减弱,左房增大,二尖瓣轻度返流,EF35%。
心电图示:窦性节律,完全性左束支传导阻滞。QRS宽度174ms。
心电图
● 术前患者QRS:174ms

适应证
● 患者窦率,LBBB,QRS174ms,EF35%。
● 2016ESC指南推荐使用CRT!
CRTD植入——寻找CS
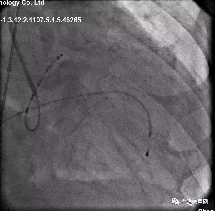
● LAO下用十级CS电极寻找冠状窦顺利,并将左室递送系统送入冠状窦内。

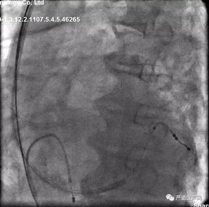
CRTD植入——造影
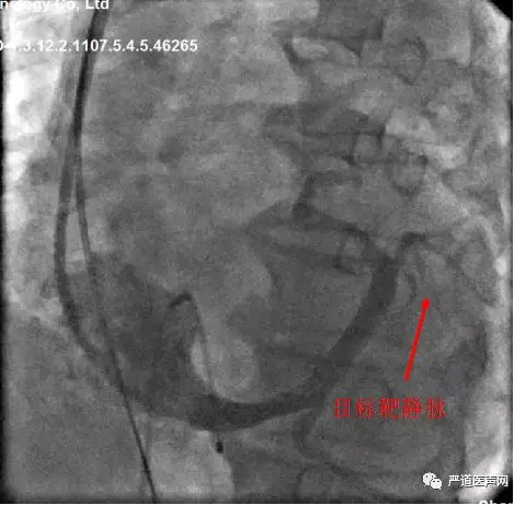
● LAO发现走形左室侧的靶静脉有三根,RAO发现侧静脉两根,但是与主干分支处有迂回夹角

LAO

RAO
CRTD植入——电极植入
● 靶静脉粗细判断可以进入四级电极4298,若侧静脉无法固定,可考虑后侧静脉分支,而短间距减少PNS发生的特点也可以尽量避免后侧静脉高发的PNS情况。
● LAO下成功放入左室四级电极,但发现远端静脉细,四级电极无法放的更深。

● RAO可以观察到电极置入的是偏上方的侧静脉。在尝试撤鞘时电极脱位一次,其实我们可以观察到4298的两个自然弯度并没有全部进入靶静脉,所以担心远期脱位风险,故考虑更换靶静脉放置左室电极。


● 将心房和右室电极植入后,调整左室电极电极位置,目标靶静脉为偏下的侧静脉。但是很明显发现夹角锐利,左室四级电极无法通过,故选择130度夹角的鞘中鞘做支撑
● 使用成锐角的鞘中鞘置入左室四级电极于远端。
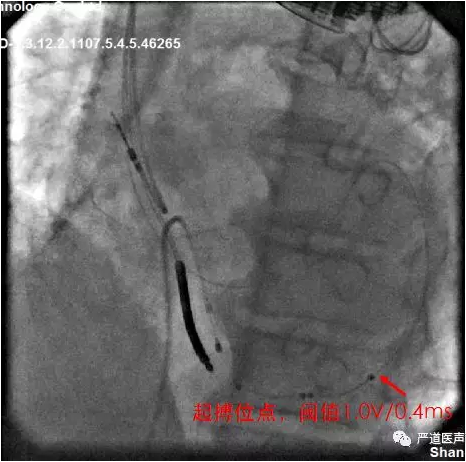
● 130度鞘中鞘指的是外角130度,所以成角为锐角60度。


● 为了固定将四级电极送的比较远,此时发现LV1点靠近心尖部,四级电极优势体现,植入心尖,起搏侧壁,起搏向量选择LV4to RVcoil。

术前心电图

术后心电图

QRS:114ms
讨论
● 当靶静脉成角锐利,无法通过PTCA导丝放置电极时,可尝试使用具有固定弯度的鞘中鞘提高支撑力,并放置电极。Medtronic的6248鞘中鞘系列具有多个不同弯度,且兼容四级电极4298。
点评专家

任晓庆 中国医学科学院阜外医院
点评内容
● 本例植入案例中第一个电极的位置较理想,但是可能固定不好所以选择了最终位置。个人认为适当回撤可能使起搏位点会更好。
● 鞘中鞘应用非常恰当,尤其当靶静脉成角锐利,无法通过PTCA导丝放置电极时,尝试使用了鞘中鞘提高支撑力,并成功放置电极。同时在术中多角度造影,在给靶血管选择上提供了良好的选择。