
本期达人

李耀东 新疆医科大学附属第一医院
病例一:CRT植入一例
患者信息
● 患者:患者A,男,55岁
● 患者自诉于2年前劳累、情绪激动、心情不佳时出现心慌,同时伴有胸闷、气短,患者自诉上四楼出现上述不适,持续半小时左右,休息可缓解。
● 2017年11月患者心慌、胸闷、气短症状逐渐加重,夜间不能平卧入睡,伴有咳嗽、咳痰、尿少、双下肢间断浮肿。当时因患者脑梗急性期,故暂无法行起搏器手术。
● 此行专门为行起搏器手术就诊我院,门诊以“心功能不全”收入我科。
患者用药清单
● 患者慢性心力衰竭、糖尿病史:
➛ 蒙诺 5mg,口服,每日一次;
➛ 氯化钾缓释片 1g,口服,每日二次;
➛ 地高辛片 0.125mg ,口服,每日一次;
➛ 万力爽20mg ,口服,每日三次;
➛ 安体舒通 40mg ,口服,每日一次;
➛ 康忻2.5mg ,口服,每日一次;
➛ 立普妥20mg ,口服,每日一次;
➛ 卡博平 50mg ,口服,每日三次;
➛ 长秀霖笔芯10单位睡前皮下注射
➛ 诺和锐笔芯6单位三餐前皮下注射
心脏超声
● EF:35%
● 左室舒末70
● 左心腔增大,心肌运动普遍减弱
● 并左心功能不全

患者术前心电图
● 患者窦性心律,完全性左束支传导阻滞、QRS200ms。

诊断
● 确诊诊断:
➛慢性心力衰竭
扩张型心肌病
心功能Ⅱ-Ⅲ级
➛心律失常
窦性心律
完全性左束支传导阻滞
➛ 脑血管病
脑梗死恢复期
➛2型糖尿病
腋静脉穿刺
● 如果患者脂肪层太厚,可以切口后在穿刺后两针
● 确认三根引导钢丝进入下腔静脉

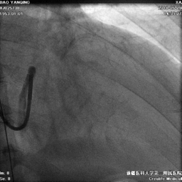
寻找冠状窦
● 扩心病人考虑先使用EH导管,找到冠状窦后鞘管始终无法进入,换用MB2导管,同样顺利找到窦口。但是鞘管仍旧无法进入,考虑窦口有瓣。深插标测导管增加支撑力,回拉导管同时推送鞘管,通过两者相对运动送过鞘管。


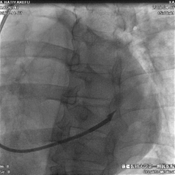
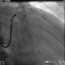
冠状静脉造影
● 通过长鞘造影,先冒烟,确认无夹层,造影后发现侧静脉分支,但不清楚远端情况。


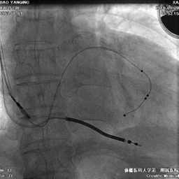
鞘中鞘超选靶血管
● 使用鞘中鞘超选入靶血管


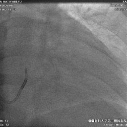
鞘中鞘造影
● 由于入口处有夹角,鞘中鞘无法深入,无论换用90还是130的鞘中鞘,开口处造影都看不到远端血管情况。


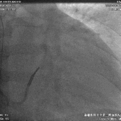
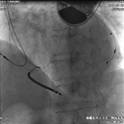
尝试导丝送入靶血管远端
● 尝试导丝先行,能否走到靶血管远端。


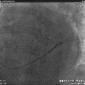
电极植入
● 延PTCA导丝送入电极至远端。


● 植入心房电极和右室除颤电极,连接起搏器。


术中电参数
● 术中测试除颤电极感知良好,除颤阻抗正常。
➛心房:
0.8V/0.42ms,Pwave:5mv,阻抗:420欧姆
➛心室:
0.8V/0.42ms,Rwave:>20mv,阻抗:600欧姆
➛左室:
LV-tip 0.8V/0.42ms 阻抗:640欧
LV-2 1.25V/0.42ms 阻抗:600欧
LV-3 1.5V/0.42ms 阻抗:650欧
LV-4 1.0V/0.42ms 阻抗:700欧
术后心电图

病例二:CRT植入一例
患者信息
● 患者:患者B,女,81岁
● 患者自诉于3年前无明显诱因出现胸闷、心悸,伴头晕,双下肢水肿,夜间端坐呼吸等症状,口服药物治疗,症状无缓解。
● 2017年10月在自治区中医院行冠状动脉造影检查,并植入支架2枚,具体血管狭窄位置,程度不详。
● 目前患者自诉双下肢水肿、夜间端坐呼吸明显好转,但仍有头晕,伴下肢发力,为求进一步诊治,于我院就诊,以“心力衰竭”收住我科。
患者用药清单
● 患者冠心病史3年:
➛ 倍他洛克缓释片 47.5mg,口服,每日一次;
➛ 贝他普利10mg,口服,每日一次;
➛ 尼克地尔5mg ,口服,每日三次;
➛ 万力爽20mg ,口服,每日三次;
➛ 拜阿司匹林100mg ,口服,每日一次;
➛ 可兰特5mg ,口服,每日一次;
➛ 立普妥20mg ,口服,每日一次;
心脏超声
● EF:37%
● 冠心病PCI术后:
● 左房偏大,左室增大,室壁运动普遍性减弱,并左心功能不全。
● 主动脉硬化,瓣钙化并主动脉瓣关闭不全

患者术前心电图
● 患者窦性心律,完全性左束支传导阻滞、QRS200ms。

腋静脉穿刺
● 考虑CRTD植入电极数量较多,选择腋静脉穿刺避免远期并发症。
腋静脉穿刺技巧
● 穿刺困难时,可行造影,影像下穿刺


鞘管的选择
● 6250C套盒包括两根鞘管可以选择:MB2和EH
● MB2鞘管
长度:MB2X-45cm
标准的和开口高位的CS
● EH鞘管
长度:50cm
较大右心房且CS垂直开口


冠状窦寻找
● 使用强生十极寻找冠状窦后,顺势推送长鞘进入冠状窦内


冠状静脉造影
● 冠状静脉造影,选择靶血管侧静脉。血管远端无法看清,使用鞘中鞘造影靶血管


鞘中鞘超选靶血管造影
● 根据造影结果尝试选择侧静脉


电极植入
● 导丝先行,鞘中鞘作支撑缓慢进入电极。


● 反复尝试电极第四个位点始终无法进入,最终保证前三位点参数,测试左室电极良好。


● 植入心房电极和右室除颤电极,连接起搏器。


术中电参数
● 术中测试除颤电极感知良好,除颤阻抗正常。
➛心房:
0.8V/0.42ms,Pwave:2mv,阻抗:800欧姆
➛心室:
0.6V/0.42ms,Rwave:15mv,阻抗:600欧姆
➛左室:
LV-tip 0.7V/0.42ms 阻抗:740欧
LV-2 1.5V/0.42ms 阻抗:680欧
LV-3 2.0V/0.42ms 阻抗:670欧
LV-4 3V/0.42ms 阻抗:900欧
术后心电图

术后QRS 100ms
病例三:CRT植入一例
患者信息
● 患者:患者C,男,65岁
● 患者家属代诉于7年前无明显诱因出现心前区疼痛,持续不缓解,伴乏力、恶心、呕吐。就诊于心脑血管病医院,行冠脉支架植入术。
● 2月前患者于安静状态下再次出现胸痛,我院诊断为前壁心肌梗死。于前降支植入支架1枚,好转出院。
● 一周前患者再次突发胸痛,呈绞痛,持续不缓解。伴随心悸、心慌,为求进一步诊治就诊于我院急诊。
患者用药清单
● 患者于20年前诊断为高血压,七年前诊断为冠心病:
➛ 代文 80mg,口服,每日一次;
➛ 拜阿司匹林100g,口服,每日一次;
➛ 波立维 75mg ,口服,每日一次;
➛ 立普妥20mg ,口服,每日一次;
➛ 喜格迈片 5mg ,口服,每日三次;
➛ 万爽力20mg ,口服,每日三次;
心脏超声
● EF:35%
● 左室舒末76
● 左心腔增大,左室心肌节段性运动减弱
● 并左心功能不全
● 冠心病-PCI术后

患者术前心电图
● 患者窦性心律,QRS140ms

寻找冠状窦
● 扩心病人考虑先使用EH导管,找到冠状窦后鞘管始终无法推送至远端,撤出十极标测电极后,冒烟造影发现鞘管进入小分支。


冠状静脉造影
● 十极标测电极进入窦口后总是超选小分支,进入过程中逆向旋转十极标测电极,顺利避开小分支开口,进入主干,造影显示可用后静脉和侧静脉各一个


鞘中鞘超选靶血管
● 使用鞘中鞘超选入靶血管造影,明确靶血管远端情况。


植入左室电极
● 首选后静脉,通过鞘中鞘递送左室电极,深插鞘中鞘作支撑,电极始终无法送达远端,考虑患者血管狭窄导致,更换靶血管,从侧静脉递送电极至远端。


电极植入
● 植入心房电极和右室除颤电极,连接起搏器。


术中电参数
● 术中测试除颤电极感知良好,除颤阻抗正常。
➛ 心房:
1.6V/0.42ms,Pwave:2.8mv,阻抗:680欧姆
➛ 心室:
0.5V/0.42ms,Rwave:>20mv,阻抗:860欧姆
➛ 左室:
LV-tip 1.2V/0.42ms 阻抗:640欧
LV-2 1.0V/0.42ms 阻抗:600欧
LV-3 1.5V/0.42ms 阻抗:650欧
LV-4 1.4V/0.42ms 阻抗:700欧
术后心电图

点评专家

高连君 大连医科大学附属第一医院
点评内容
1.CRT/P(D)治疗的关键技术环节是左室导线的植入,在CRT植入过程中,经常会碰到冠状窦开口异常(如静脉瓣)或走行迂曲,有时冠状窦电极可以顺利进入,但递送鞘无法进入等诸多问题。合理的利用冠状窦电极的支撑,充分造影显示血管分布全貌,根据实际情况选择合适的递送鞘,如适合的弯度,鞘中鞘技术等,可以成功解决遇到的困难。三个病例在左室导线植入过程中均遇到了一定的困难,成功解决方案的经验分享,值得借鉴。
2.从适应证的选择上来看,病例一患者A和病例二患者B选择都是CRTD的一类适应证,证据级别A,窦律,CLBBB,QRS200ms,扩张性心肌病或缺血性心肌病。双室起搏后,QRS波明显缩窄,CRTD术后,心功能改善,症状减轻,值得期待。病例三患者C介绍的是一个缺血性心肌病的病例,EF35%,LVEDD76 mm,QRS140ms,首先肯定是ICD的一类适应证,考虑到患者QRS不是很宽,7年前做过支架,2个月前和1周前都出现胸痛,应充分考虑到是否目前存在缺血,是否需要学运重建,如果有心肌缺血,应首先冠脉血运重建,然后再考虑ICD或CRTD植入。
3.患者从CRTD中最大获益除关注术后优化药物治疗之外,还需要充分考虑到参数优化与管理,如双室起搏时有没有融合波,可尝试对比正常双室起博和适应性的单左室起博,即感知右室起搏左室,AdaptivCRT,心电图优化达到最窄QRS波。另外还可以结合超声优化取得最佳的VTI,如果是植入的带AdaptivCRT功能的CRT(D),可直接采用AdaptivCRT同样能达到超声优化的效果,而且每分钟都在优化AV,VV间期。病例三患者C这个病例,术后双室起搏QRS比自身下传的QRS波还要略宽一些,需要起搏可程控优化看是双室起搏效果好还是心房起搏心室感知好。
4.这三个病例都是植入的左室四极导线,为术后优化提供了很多种选择,四极导线一共有16个起搏向量可供选择,当一个起搏位点遇到阈值高,膈肌刺激,可选择别的起搏位点,心电图优化时,除了考虑到起搏阈值之外,在可接受的起搏阈值下,还要更多注意选择QRS最窄的起搏位点,以获得最佳机械功能改善。