
本期导师

郑良荣 浙江大学医学院附属第一医院
鞘中鞘辅助植入CRTD一例
病史
基本资料:
● 患者,男性,56岁
● 因“反复胸闷5余年,加重3月”,收治入院。3月前患者胸闷气急加重,下肢水肿明显,端坐呼吸。
● 2018-07-24我院检查:
➛ 超声心动图:扩张型心肌病,全心扩大,左右室壁运动弥漫性减低,下腔静脉扩张,二、三尖瓣中度反流,肺动脉高压,左室收缩功能减低(EF 15%)
➛ 心电图提示:

心脏多普勒超声
● 提示:扩张性心肌病,全心增大伴左心室血栓形成,中度二尖瓣反流,中度肺动脉高压,左室舒张及收缩功能均减退。

超声心动图
● 结论:EF 15%;多次超声结论相似

诊断
● 扩张性心肌病,全心扩大伴左心室血栓形成,EF 15%;
● 心功能IV级,有心脏移植指征
治疗方案
● 建议心脏移植-患者及家属拒绝
● 抗心衰药物治疗:予多巴胺强心,华法林抗凝,呋塞米联合螺内酯利尿,倍他乐克降低心肌耗氧
● CRT-D植入
(Medtronic Brava Quad CRT-D)

CRT-D植入术(2018-8-01)

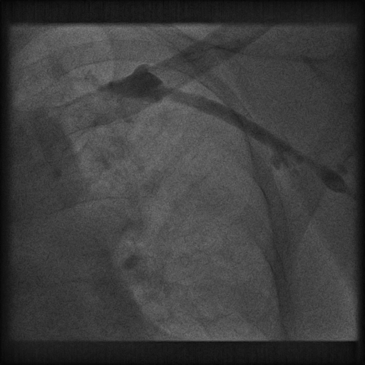
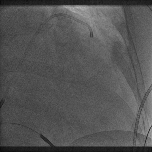
腋静脉造影

十级寻找CS

相对运动无法使鞘管深入CS

冒烟确认鞘管位置
● CS开口朝上,右房巨大,6250鞘管无法深入CS,从而无法稳定,且鞘管直接造影没法显示靶静脉情况,无法利用球囊造影,此时利用鞘中鞘,1、完成造影,2、提供支撑,为LV电极导线到达提供路径与支撑

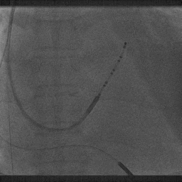
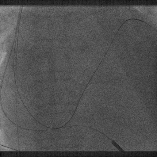
鞘中鞘进入靶血管

鞘中鞘进入靶血管

超选造影


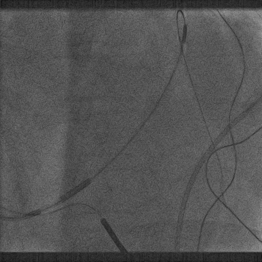
沿鞘中鞘进四极电极



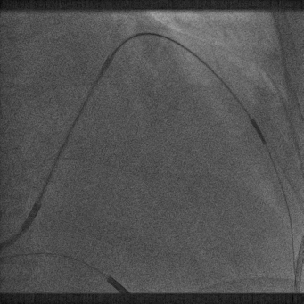
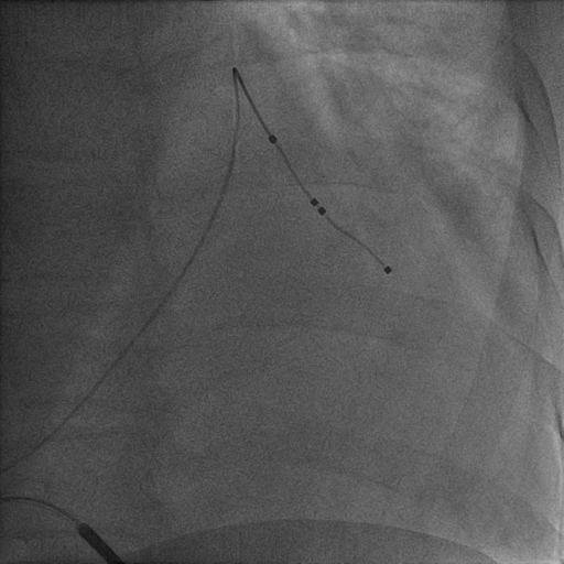
最终影像
术后讨论

➛ 右房大,左室递送系统没有支持
➛ 窦口开口高,开口方向较陡
➛ 鞘中鞘可考虑
➛ 右心导管增加支撑
导线脱位的预防措施
● 保留PTCA导丝,透视下回撤鞘管出冠状静脉口至心房内;
● 撤除PTCA钢丝,换做LV导线的直钢丝至右心房中下部;
● 切鞘前调整电极张力
● 切开鞘管:卡住电极,固定刀片侧手,先切开止血阀,然后外撤鞘管,一气呵成,不要停顿。


➛ 撤出鞘中鞘后调整导线弧度,弧度过多,容易脱位,适当的弧度是保证撤鞘时导线稳定的前提
鞘中鞘的其他应用-处理靶静脉开口异常
● 开口角度大,与主干成90度或者更大角度;
● 开口处有扭曲或者狭窄;
● 开口处有连续“发夹弯”扭曲。

