
本期达人
带教导师:李京波 上海市第六人民医院
术者:陈忠 上海市第六人民医院东院
鞘中鞘在CRT左室植入困难中的使用
病史
患者男,72岁
因“反复活动后胸闷、呼吸困难13年,加重10天”入院。
2018年3月02日心超显示左室舒张末内径90mm,EF值37%
心电图提示I度AVB,CLBBB,QRS144ms
Pro-BNP 34900ng/L
有高血压史,最高血压190/90 mmHg,平时血压 108/49 mmHg
2018年6月11日行冠状动脉造影,提示LM,LCX均无明显狭窄,LAD轻度粥样硬化
初步诊断为 扩张型心肌病,CLBBB,收缩性心力衰竭,心功能III-IV级,符合CRT I类适应证
心电图

寻找冠状窦


冠状窦口很容易找到,但是外鞘和CS十极很容易弹出
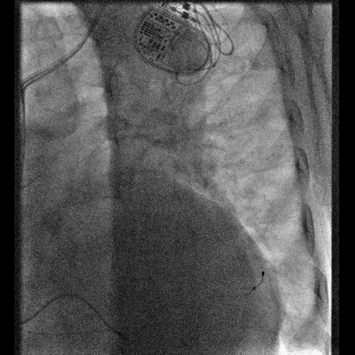
术中冠状窦造影


造影发现在分支静脉处有明显扭曲
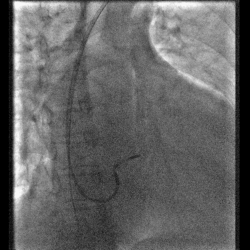
鞘中鞘的使用



果断选择鞘中鞘进入静脉分支,既能顺利通过扭曲,又能给电极提供更好的支撑力
美敦力的左室导线完美兼容鞘中鞘,提高植入成功率

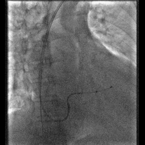
右室右房电极的植入



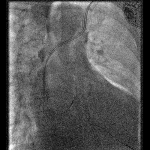
最终植入美敦力 Viva CRTP


程控出参数良好,目前以Adaptiv Biv的模式起搏,期待后续疗效
病例总结
● 患者心脏大,EF值低,QRS波宽,属于CRT I类适应证;患者自身窦律,房室结功能良好,选择能够自动优化AV和VV间期的AdaptiveCRT预期未来有比较好的CRT反应;
● 患者靶静脉开口处就有明显扭曲,如果常规植入左室电极将会比较耗时,心衰病人也不宜手术时间过长。选择鞘中鞘的辅助,电极能够顺利通过扭曲段血管达到理想位置,缩短手术时间;
● 该患者三尖瓣反流也比较厉害,右室电极在植入时也多次弹出,植入时选择不更换直钢丝直接用弯钢丝过三尖瓣,经过微调整固定在右室心尖部,可以减少电极被弹出的风险。
点评内容
该患者为CRT的I类适应证,操作难点主要为心侧静脉严重扭曲,PTCA导丝支撑力差,故术者使用了鞘中鞘技术顺利将左室导线放置于理想的靶静脉;另一难点为患者有严重的三尖瓣反流,术者巧妙地利用弯导丝技术将右室导线成功放置于右心室。该术者对于CRT植入指征把握准确,操作技巧具有独到之处,值得大家借鉴。