
本期达人
带教导师:赵仙先 海军军医大学附属长海医院
术者:陈峰 海军军医大学附属长海医院
当CRT遇上“猪尾圈”状靶血管
冠脉起搏融合技术的应用
病史
•女性,75岁
•主诉:反复胸闷2年,发作性气短伴下肢浮肿、不能平卧20天。
•既往:否认高血压,糖尿病
•外院心超:左心增大、左收缩功能重度减退,二尖瓣中度返流,EF33%。予以药物治疗半年无效。
•入院后查体:脉搏:70次/分,血压:122/78mmHg,心尖区可及3/6级收缩期吹风样杂音,双下肢中度浮肿
ECG:窦律,完全性左束支传导阻滞,QRS宽度136ms

鉴别诊断
•冠心病 缺血性心肌病 完全性左束支传导阻滞心功能
Ⅲ级 ?
•扩张型心肌病、完全性左束支传导阻滞、心功能Ⅲ级?
下一步治疗策略
积极优化药物治疗

指南推荐

根据2016ESC指南,患者符合CRTD IB类适应症
电极植入路径选择

•在左锁骨外1/3下方2cm处,切开皮肤,长约5cm,分离出头静脉作为备用。
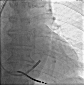
•在造影透视下连续3次成功穿刺腋静脉。
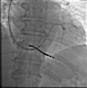
如何快速有效寻找CS?

•我们的经验:LAO 45°投照体位
•冠状窦电极
优点:快速,有效
缺点:费用昂贵
•AL导管(首选)
优点:费用便宜,快速有效
缺点:头端较硬,有可能刺激并发传导阻滞。
先植入右室除颤电极、再行植入左室电极
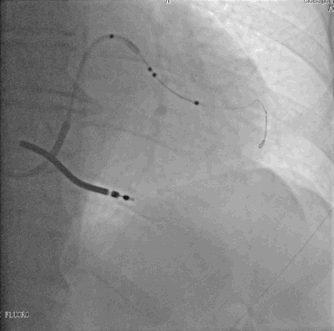
靶血管的选择


•AP位
•造影情况:LAO发现走形左室侧的靶静脉与主干分支处有迂回夹角,且靶静脉中似乎也有夹角?
•选择SION软导丝0.014X180cm,头端塑形回头弯,无法进入靶血管
鞘中鞘造影确认靶血管

鞘中鞘的优势:
•头端柔软,提供支撑力,更容易帮助塑形导丝进入有成角的分支。
•直接造影,明确靶静脉。
鞘中鞘技术的应用
在美敦力的Attain Select TM+SureValveTM6248VI-130(鞘中鞘)引导下,Sion导丝顺利通过靶静脉第一个夹角,但是在继续推进导丝的时候却发现导丝打圈难以前进。

“猪尾圈”状靶血管导丝无法前进,容易弹出
下一步如何办?
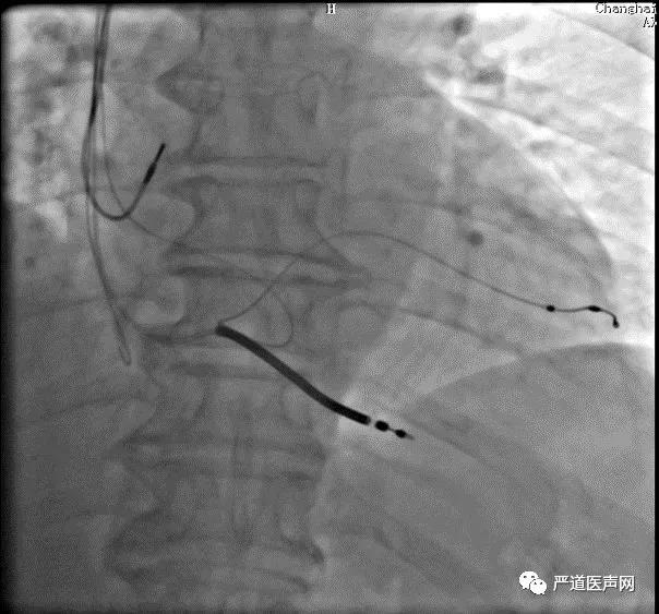
球囊辅助技术的应用


美敦力2.0*15mm球囊前端扩张4ATM引导鞘中鞘进入靶血管中段---优势:
•防止血管夹层,穿孔
•提供支撑力
球囊辅助技术

•打圈的导丝

电极无法沿导丝通过!!!!

•导丝通过后扭曲血管被拉直
•但是四极电极通过仍然困难
•强行推送电极,导丝电极鞘管全部外弹

Swing技术的应用

•Swing技术:利用患者自身的心脏跳动,顶住四极导线电极,电极会逐步缓慢前行至靶静脉远端。
要点:
•避免过度用力,持续给力
•稳住导丝,透视下操作
电极最终定位

•LAO45°位

•AP位
VECTOREXPRESS一键测试


心电图对比

术前QRS 136ms

术后 QRS 100ms
术后一周心脏彩超

•患者EF46%
•二尖瓣中量反流
•三尖瓣少量反流
•左室肌顺应性下降
•左室收缩功能减低
点评内容
•CRT/D目前已经成为治疗心力衰竭的重要方法,疗效肯定,应用前景广泛
•与一般起搏器植入不同的是由于此类病人病情较重,大多无法耐受长时间平卧,因此应尽量缩短手术时间
•CRT/D植入关键技术包括血管径路选择、寻找冠状窦口和左室电极植入
本例的特点:
•血管径路选择分次穿刺腋静脉的方法,避免了电极植入过程中的相互干扰,也确保了以后电极不被磨损
•电极植入顺序采用了先植入右心室电极,再植入左室电极,万一术中发生了III度房室传导阻滞可以及时行右心室起搏,提高了手术的安全性
寻找冠状窦的方法:
•经典方法是使用10级冠状窦电极,但技术要求高,尤其是右心系统明显扩大时,会遇到困难
•使用AL造影导管寻找冠状窦,目前应用越来越广泛,操作简单,配合“J”型导丝,安全性好,成功率高
左室电极植入:
•左室电极植入是最关键技术。本例左室电极植入的难点是靶血管与主支血管成角大,而且靶血管中段扭曲,普通PTCA导丝无法进入靶血管远端
•运用鞘中鞘技术,很好地解决了靶血管与主支血管成角大问题,但依然无法将电极通过中段扭曲处
球囊辅助(BAT)技术的应用:
•BAT技术目前广泛应用于经桡动脉行PCI,可有效解决桡动脉扭曲和痉挛,导管无法通过的情况,并避免血管夹层
•本例手术成功将BAT技术应用于辅助鞘中鞘导管通过靶血管扭曲处,从而顺利送入四极电极,属于重要创新
小结:
•CRT/D左室电极的位置是决定其疗效的重要因素
•本例病人的手术过程,综合应用了鞘中鞘技术、PCI中的BAT技术,克服了靶血管成角、扭曲等困难,从而把四极电极成功送到了理想的位置,取得了良好的疗效
•其经验和技巧值得进一步推广