
本期导师

沈法荣 浙江绿城心血管病医院
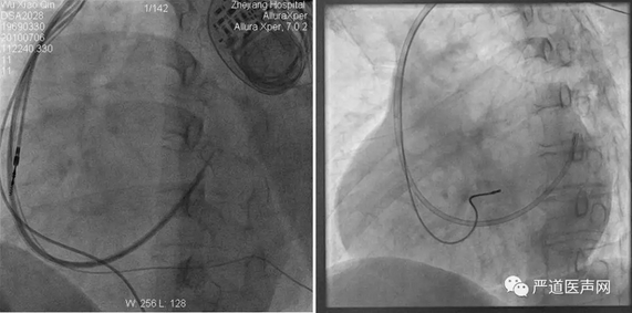
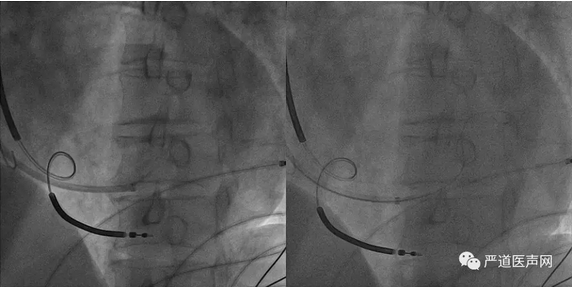
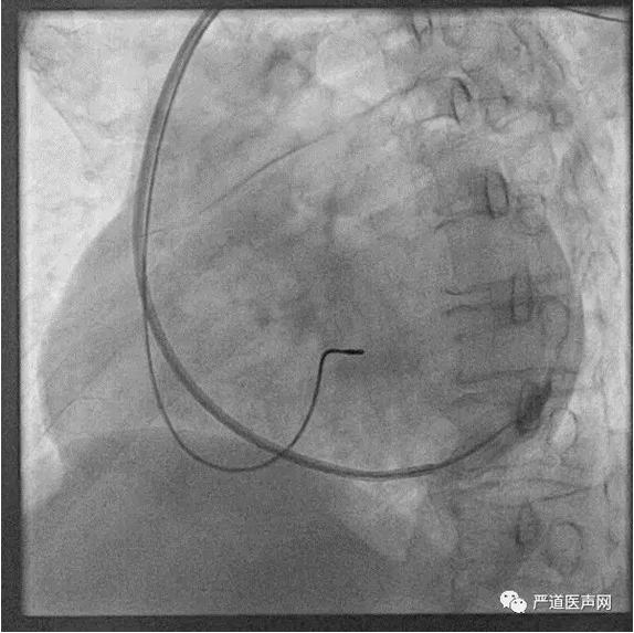
寻找CS开口
寻找CS开口
● 心衰患者心脏解剖结构变异
➛ CS开口更高
➛ CS开口成角程度更陡

● CS开口后下部位有膜性瓣覆盖
➛ 瓣膜若完全封闭CS则无法经CS植入

● 需选择右侧植入时扭力和角度增加
根据术者习惯选择合适的工具
冠状窦窦口异常
CS开口在常存在着变异:有先天的或继发的因素:
● 基础心脏疾病引起的心脏解剖改变;
● CHF造成的心腔扩大,且由于左右心腔先后扩大的次序、程度不一,造成CS开口差异大;
● 曾经接受心脏外科手术而导致的心脏解剖结构变化;
● CS开口有时靠近侧壁或垂直开口、Thebesian瓣等。

冠状窦口存在瓣膜(Thebesian瓣)


55/75 hearts:73%
CS开口处的Thebesian 瓣
冠状窦口存在瓣膜术中可能的征象:
● 1.导线、EP电极及PTCA钢丝等入CS,但指引导管不能进入;
● 2.通过指引导管在房内造影,可见窦口常成平面,似“刀削状”影像。

大右房

冠状窦口异常:大右房、高开口

● 1.Amplatz AL-3主要应用于巨大的右心房,可使内导管形成一个向上的成角进入冠状静脉窦开口

● 2.大弯度指引导管:主要应用于右房大、冠状静脉窦开口较高的患者;
冠状窦开口异常处理:
● 不同弯度指引导管应用、不同支撑力EP电极的应用、超滑泥湫导丝应用、不同内导管应用、适时造影…….
进冠状窦口后遇阻力:冒烟、导引钢丝

冠状窦口异常:大右房、低开口

● 处理:
➛ 选择直或多功能指引导管;
➛ 耐心、耐心、再耐心!
寻找CS开口方案一:传统方法
● 使用冠状窦电生理标测电极和左室递送系统一起寻找冠状窦口,常用在LAO下,以三尖瓣和脊柱作为标记来进行



LAO
寻找CS开口方案二:Amplaz导管+超滑导丝
● 借助Amplatz导管的形状和支撑,泥鳅导丝探索,推送外鞘管进入CS时注意同轴性

LAO
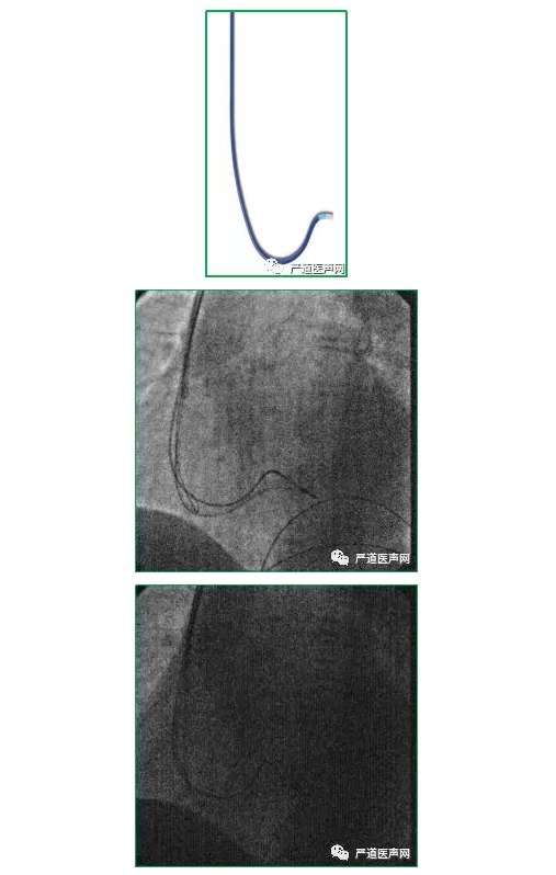
寻找CS开口方案三:特殊塑形左室递送鞘
● 不同弯度的鞘管应对各种患者的解剖变异,用于直接寻找CS
● 右侧植入推荐使用直鞘或右侧专用鞘

外径9F,内径7.2F

右侧鞘(6250MPR)

● 将左室长鞘插入冠状静脉时须特别小心
● 因为鞘管相对较硬,一旦损伤血管壁时会引起夹层或穿孔
● 建议配合EP电极、导引钢丝
寻找CS开口方案四:顺向性冠状静脉显影

寻找CS开口方案五:术前行冠状静脉CTA
● 适用情况:
➛新增左室导线
➛重置左室导线
● 难点:
➛放射技师需掌握延迟扫描时间
➛心功能差患者显影不佳
➛较小分支显影不完全
