简要病史:
患者男,88岁,以“活动后胸闷1年,加重4月”为主诉入院。既往无高血压、糖尿病等。初步诊断:1.老年性瓣膜病,主动脉瓣重度狭窄,心功能III级(NYHA分级);2.升主动脉瘤,STS评分:34.527%。
检验结果:
Hgb:105.0g/L;
K+:4.4mmol/L,Na+:134mmol/L;
Crea:71μmol/L,GFR:80.095mL/min/1.73m2;
NT-Pro-BNP:432.6Pg/mL。
术前ECG:窦性心律,完全右束支阻滞,左前分支阻滞

术前UCG:

TAVR CT:瓣环平面,左室流出道(瓣下5mm)


TAVR CT:STJ,升主动脉(瓣上40mm)


TAVR CT:左右冠高度


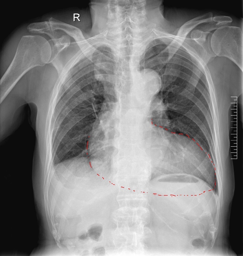
DR:极度横位心,心脏角度103°

TAVR CT:股动脉入路

CT总结:
1.功能性二叶瓣,右无冠窦融合,重度钙化,左窦小,LCA开口高度9.4mm,极度横位心,心脏角度103°;
2.患者极度横位心,升主动脉及降主动脉3D扭曲,主动脉根部几呈鱼钩样,极大增加输送系统推送及瓣膜释放难度;
3.钙化团块距离左冠脉较近,存在左冠脉风险;
4.极度横位心,瓣环径大,瓣周漏风险很大;
5.心脏角度不仅大,同时多个转角,导丝塑形具有挑战,导丝提供的支撑力不能保证。
手术过程:
1.患者存在左冠脉风险,先行冠脉造影,JL4.0到达LCA开口选择造影:LAD,LCX内膜不光滑,散在斑块,最重狭窄40%。
2.患者极度横位心,右无窦融合,左窦位于上方,采用AL2导管贴靠升主动脉底部(大弯侧)普通直头跨瓣导丝跨瓣成功,交换猪尾导管测跨瓣压58mmHg。
3.主动脉根部造影,冠脉显示不清晰,少中量反流,先行球囊扩张,观察冠脉情况决定是否行冠脉保护。
4.送入塑形Landerquist导丝,沿Landerquist送入25mmBalt球囊预扩张,钙化团块推向两侧,左冠脉显影良好,但距离团块很近,球囊与右无窦之间少许腰征,无明显反流,选用29mmVenus-A瓣膜。
5.随输送系统进入Snare牵拉,升主动脉弯曲度极大,通过困难,瓣膜头端从大弯侧弹跳至瓣口,张力极大。
6.造影定位,牵拉瓣膜释放,瓣膜张开随即出现下滑,考虑推送输送系统时在瓣口有弹跳现象,此处张力蓄积较大,不会逐渐拉至标准位或者零位,而是直接弹出瓣口,故没有极力后拉。
7.瓣膜释放完毕食道超声示中量反流,后扩张。
8.后扩后造影,少中量反流,测跨瓣压0mmHg,患者高龄,术前即存在反流,结束手术。
术后UCG:

术后ECG:三度房室传导阻滞

观察一周未恢复窦律,行起搏器置入。
小结
1.本例患者极度横位心,心脏角度高达103°,极大增加瓣膜释放难度,瓣膜到位后,输送系统类似螺纹状,力量传导严重不同轴,提拉的力量不易把握,易导致瓣膜下滑或者弹出,同时,该患者升主动脉扩张,主动脉无贴靠,瓣膜固定主要依赖瓣环及瓣上结构。
2.本例患者存在冠脉风险,预扩张时造影冠脉显示良好,但钙化团块距离左冠脉开口较近,如瓣膜释放位置较高,例如零位释放则冠脉风险则可能增加。
3.瓣膜释放后出现瓣周漏,这与该患者严重钙化,瓣膜深度较大有关,但该例患者提拉瓣膜弹出风险较大,不易过度提拉,同时环绕支架透视可见瓣架形状不够规整,行后扩张,瓣周漏减少。
4.对于本例患者,输送系统难以到达瓣环,跨越角度时张力大,存在主动脉破裂夹层的风险,推送过程中仔细体会张力,同时小心导丝从心室滑脱。
5.本例患者的导丝塑形有很高要求,良好的塑形能够提供良好的支撑,同时不对心室产生过高的切割力,减少心室破裂。